Home
Current issue
Instructions
About us
Archives
Login
Editorial board
Search articles
Contact us
Users Online: 1421
Export selected to
Endnote
Reference Manager
Procite
Medlars Format
RefWorks Format
BibTex Format
Table of Contents
May-August 2017
Volume 6 | Issue 2
Page Nos. 77-109
Online since Wednesday, May 17, 2017
Accessed 22,842 times.
PDF access policy
Journal allows immediate open access to content in HTML + PDF
EPub access policy
Full text in EPub is free except for the current issue. Access to the latest issue is reserved only for the paid subscribers.
View issue as eBook
Author Institution Mapping
Issue statistics
RSS
Show all abstracts
Show selected abstracts
Export selected to
Add to my list
ORIGINAL ARTICLES
Surface treatment on the shear bond strength of dental ceramics to titanium commercially pure
p. 77
Rodrigo Galo, Deborah Ganga Frizzas, Renata Cristina Silveira Rodrigues, Ricardo Faria Ribeiro, Maria da Gloria Chiarello de Mattos
DOI
:10.4103/2278-9626.206376
Background:
The aim of this study was to evaluate ceramic/titanium shear bond strength and microstructure of two commercially dental ceramics.
Materials and Methods:
Ceramic/titanium bond strength (6.0 mm × 2.0 mm) was measured using a universal testing machine. The load was applied with a crosshead speed of 0.5 mm/min until fracture. The titanium received different modifications for commercially pure titanium (airborne-particle abrasion and acid and thermic treatment).
Results:
All specimens showed different features within the interfacial area according to the different kinds of surface treatment. The tensile bond strength showed significant difference among the ceramics and surface treatment where the acid treatment groups had least means bond strength as differences between ceramic groups (
P
= 0.03).
Conclusion:
It was concluded that the use of acid solutions did not improve titanium-ceramic bonding strength values and the combination of airborne-particle abrasion and thermic treatment produced the most significant improvement in the titanium-ceramic bonding.
[ABSTRACT]
[HTML Full text]
[PDF]
[Mobile Full text]
[EPub]
[Sword Plugin for Repository]
Beta
Professionalism practiced by dental students as perceived by dental patients: A questionnaire based study
p. 82
Abdulaziz Alshahrani, Heba Mastour AlQarni, Ahmed Ali AlQarni, Rafi Ahmad Togoo, Syed Sadatullah
DOI
:10.4103/2278-9626.206374
Background:
Professionalism as a concept is complex and is associated with multiple factors including patients' age, gender, education qualification, ethnic background in addition to their social, psychological, and economic status.
Aim:
The objective of this study was to assess patients' perceptions of professionalism practiced by students during clinical practice.
Methods:
A self-administered questionnaire was given to 215 new patients attending Comprehensive Care and Intern Clinics at King Khalid University College of Dentistry Campuses. They were asked to respond to specific questions regarding student behavior and communication during treatment procedure.
Results:
Results revealed that majority of the students displayed professional appearance and behavior. However, they need to emphasize more on answering treatment-related patient's questions and doubts. Students and support staff need to make sure patients sign the informed consent form only after reading it completely.
Conclusion:
Results also indicate that dental students practice professionalism when they are trained right from the beginning of the dental program.
[ABSTRACT]
[HTML Full text]
[PDF]
[Mobile Full text]
[EPub]
[Sword Plugin for Repository]
Beta
Effects of two different bleaching agents on surface roughness and microhardness of different novel nano-restorative materials
p. 86
Ceren Ozge Bicer, Fatma Dilsad Oz, Nuray Attar
DOI
:10.4103/2278-9626.206375
Objectives:
The aim of this study was to evaluate the effects of 15% hydrogen peroxide (Illuminé Office) and 16% carbamide peroxide (VivaStyle) on the surface roughness and hardness of nano-restoratives.
Materials and Methods:
A total of 30 specimens of each material were fabricated using Clearfil Majesty Esthetic (Group1), Tetric EvoFlow (Group2) and Ketac N100 (Group3). Each group were divided into 3 subgroups and treated as follows: Group 1a, 2a, 3a was treated with Illuminé Office, Group 1b, 2b, 3b was treated with VivaStyle, Group 1c, 2c, 3c was stored in distilled water at 37°C for two weeks (control). Surface roughness and microhardness tests were performed.
Results:
There were no significant differences in terms of roughness and microhardness among Clearfil Majesty Esthetic and Tetric EvoFlow groups, seperately (
P
> 0.05). Illuminé Office increased the roughness and decreased the microhardness of Ketac N100 (
P
< 0.05).
Conclusion:
Bleaching may affect the roughness and microhardness of nano-restoratives depending on material and bleaching system.
[ABSTRACT]
[HTML Full text]
[PDF]
[Mobile Full text]
[EPub]
[Sword Plugin for Repository]
Beta
Influence of whitening toothpaste on color, roughness, and microhardness of composite resins
p. 92
Roberta Bueno Manis, Tânia Mara da Silva, Tainá Teixeira Franco, Débora Cristina Barbosa Dantas, Lucas Teixeira Franco, Maria Filomena Rocha Lima Huhtala
DOI
:10.4103/ejgd.ejgd_129_16
Aims:
This study aimed to evaluate color stability (ΔE), surface roughness (Ra), and Knoop microhardness (KHN) of composite resins under simulated toothbrushing with whitening toothpastes and desensitizing toothpaste.
Methodology:
One hundred disks were made with composite resins: Filtek Z350 XT (3M/ESPE) and Grandio SO (VOCO) and divided into five subgroups: AS (Control I) - immersed in artificial saliva; CS (Control II) - immersed in coffee solution; LW - brushing with Colgate Luminous White; OD - brushing with Oral-B 3D White; and SP - brushing with Sensodyne Total Protection, as control. The LW, OD, and SP groups had the disks brushed daily with 120 cycles after immersion in coffee solution (10 min) for a period of 30 days. ΔE, Ra, and KHN were obtained at baseline and after the treatments. Data were analyzed by ANOVA and Tukey's tests (
P
< 0.05). Student's
t-
test and Bonferroni test were performed to compare variables.
Results:
ANOVA revealed significant differences for ΔE, Ra, and KHN. ΔE: the highest ΔE mean values for Filtek were presented by SP group. For Grandio, the highest values were presented by SP and CS. Ra: Both composite resins presented similar behavior, with the highest mean values for groups AS and CS. KHN: The groups OD and SP made the most alteration on the surface, reducing the KHN values.
Conclusions:
Whitening toothpaste and immersion in coffee influenced on color stability, surface roughness, and microhardness of composite resins.
[ABSTRACT]
[HTML Full text]
[PDF]
[Mobile Full text]
[EPub]
[Sword Plugin for Repository]
Beta
Oral health-related quality of life in patients presenting with dentine hypersensitivity: A randomized controlled study of treatment effect
p. 99
Paul Ikhodaro Idon, Temitope Ayodeji Esan, Cornelius Tokunbo Bamise
DOI
:10.4103/ejgd.ejgd_9_17
Objective:
Dentine hypersensitivity (DH) remains a common chronic dental pain affecting the daily life of sufferers. Patients' perception of the impact of oral conditions on their quality of life as well as treatment outcome has become popular. Little is however known about the impact of DH on the oral health-related quality of life (OHRQoL) among these patients. The aim of this study was therefore to assess and compare the OHRQoL before and after treatment among patients presenting with DH.
Materials and Methods:
Conducted as a randomized, controlled study, the patients were randomized into experimental (
n
= 51) and control groups (
n
= 17) for the application of three in-office desensitizing agents: copal fluoride; 2-hydroxyethyl methacrylate and glutaraldehyde (Gluma desensitizer); arginine-calcium carbonate (Pro-Argin); and distilled water. The English version of the Oral Health Impact Profile with 14 items (OHIP-14) was administered to all patients before treatment and afterward at 1, 2, and 4 weeks to assess the OHRQoL.
Results:
Prevalence of impact (24.7%), extent of impact (12.9 ± 4.1), and severity of impact (10.56 ± 5.55) all revealed impact on the OHRQoL. The OHIP-14 scores reduced significantly among the patients treated with the desensitizing agents (
P
= 0.000), with no significant reduction in patients treated with the placebo (
P
= 0.901). There were no gender differences in the overall OHIP-14 scores. Regression analysis revealed age and number of hypersensitive teeth as predictors of pretreatment impact of DH on OHRQoL.
Conclusions:
DH had a significant impact on the OHRQoL of patients suffering from the condition. Treatment resulted in significant improvement in OHRQoL.
[ABSTRACT]
[HTML Full text]
[PDF]
[Mobile Full text]
[EPub]
[Sword Plugin for Repository]
Beta
CASE REPORT
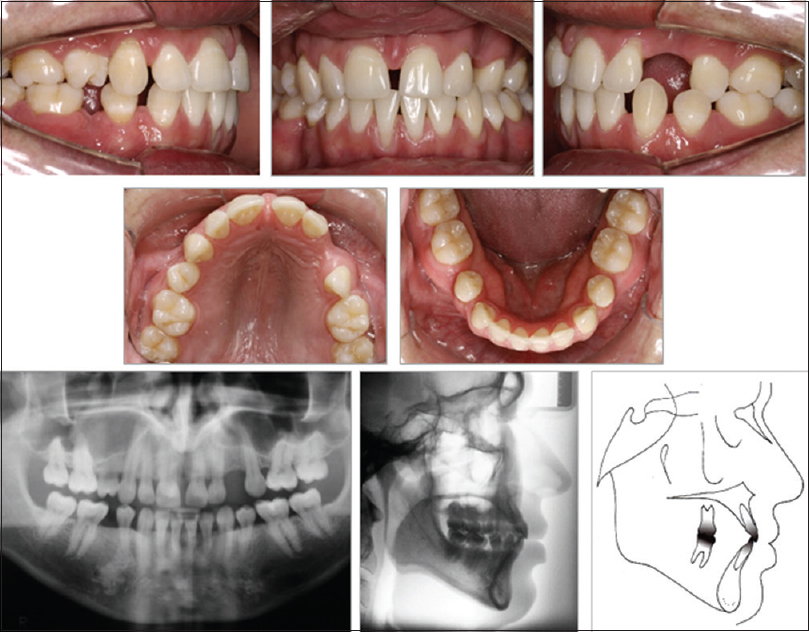
Horizontal tooth movement through atrophic edentulous alveolar ridge for bone formation
p. 106
Ivan Pedro Taffarel, Oscar Mario Antelo, Lara Karolina Guimarães, Laís Cristina Giacobbo, Orlando Motohiro Tanaka
DOI
:10.4103/ejgd.ejgd_127_16
The absence of premolars is relatively common, occurring approximately 1.5% in the maxilla, but the absence of the both premolars in the same arch is rare and usually observed in cases of oligodontia. The objective of this article is to present a clinical case with a malocclusion in the permanent dentition and an absence of both premolars in the left hemiarch, and with the canine positioned adjacent to the maxillary left first molar. The movement of the canine was slow through the alveolar ridge in the edentulous region during movement. Rectangular arches associated with stainless steel open springs alternated with elastomeric chains were used to move the canine adjacent to the lateral incisor. The retention was with a Hawley type and an acrylic tooth while waiting for implant prosthesis placement. The orthodontic movement, even to a significant extent of the maxillary canine through the atrophic alveolar bone, generated new bone, obviating the need for bone grafting. The result with the implant placement of a premolar achieved good dental and functional occlusion with improved esthetics and periodontal health, which was evident by improvements in patient self-esteem and satisfaction.
[ABSTRACT]
[HTML Full text]
[PDF]
[Mobile Full text]
[EPub]
[Sword Plugin for Repository]
Beta
Feedback
Subscribe
Next Issue
Previous Issue
Sitemap
|
What's New
|
Feedback
|
Disclaimer
© European Journal of General Dentistry | Published by Wolters Kluwer -
Medknow
Online since 1 July, 2012