 |
September-December 2015 Volume 4 | Issue 3
Page Nos. 99-161
Online since Friday, August 21, 2015
Accessed 83,976 times.
PDF access policy Journal allows immediate open access to content in HTML + PDF
EPub access policy Full text in EPub is free except for the current issue. Access to the latest issue is reserved only for the paid subscribers.
|
| |
|
|
Show all abstracts Show selected abstracts Add to my list |
|
| INVITED REVIEW |
|
|
 |
Oral health and nutrition as gatekeepers to overall health: We are all in this together |
p. 99 |
Rebecca Stanski, Carole A Palmer DOI:10.4103/2278-9626.163319 Oral diseases are prevalent worldwide and have significant health implications. Complex multidirectional relationships exist among oral health, general health, and nutrition, although the extent of these relationships is not completely understood. The purpose of this review was to examine some of the known relationships among oral health, general health, and nutrition and to provide nutrition-based recommendations for patients with common systemic and oral conditions. |
| [ABSTRACT] [HTML Full text] [PDF] [Mobile Full text] [EPub] [Citations (3) ] [Sword Plugin for Repository]Beta |
|
|
|
|
|
|
| REVIEW ARTICLE |
 |
|
|
 |
Guidelines to enhance the interpretation of two-dimensional periapical radiographic images in endodontics  |
p. 106 |
Hany Mohamed Aly Ahmed DOI:10.4103/2278-9626.163320 Radiology is an indispensable tool in the clinical practice of endodontics because most structures that harbor diseases are invisible to the naked eye. As a result, the use of periapical radiographs before, during, and after root canal treatment is essential in order that anatomical details, canal length, obturation quality, and tooth and bone pathology can be identified and monitored. The purpose of this article is to discuss the guidelines that should be followed to enhance the interpretation of periapical radiographic images in endodontics and to facilitate the identification of root and root morphology, relationship of the teeth to the surrounding anatomical structures and pathological changes in the radicular and peri-radicular areas. |
| [ABSTRACT] [HTML Full text] [PDF] [Mobile Full text] [EPub] [Sword Plugin for Repository]Beta |
|
|
|
|
|
|
| ORIGINAL ARTICLES |
 |
|
|
 |
Chlorine dioxide: An ideal preprocedural mouthrinse in dental set-up |
p. 113 |
Rajiv Saini DOI:10.4103/2278-9626.163321 Background: Aerosols generated during ultrasonic scaling is a potential risk factor for cross-contamination in dental settings. The aim of this study is to evaluate and compare the efficacy of commercially available chlorine dioxide as preprocedural mouthrinses in reducing the level of viable bacteria in aerosols. Materials and Methods : This single-center clinical double-blinded study was conducted over a period of 4 months. A total of 80 patients were divided randomly into two groups (A and B) of 40 patients each to receive the chlorine dioxide mouthwash and water as preprocedural rinse. The aerosol produced by the ultrasonic unit was collected at five standardized location with respect to the reference point, that is, the mouth of the patient. The blood agar plates were incubated at 37°C for 48 h, and total number of colony-forming units (CFUs) was counted and statistically analyzed. Results: The results showed that CFUs in test group A were significantly reduced compared with control group B, P < 0.001 (analysis of variance). The numbers of CFUs were highest in the patient chest area and lowest at the patient front, that is, 6 o' clock position. Conclusion: This study proves that a regular preprocedural mouthrinse with chlorine dioxide could significantly reduce aerosols generated during professional oral prophylaxis. |
| [ABSTRACT] [HTML Full text] [PDF] [Mobile Full text] [EPub] [Sword Plugin for Repository]Beta |
|
|
|
|
|
 |
Comparison of patients perception of dental care offered by male or female dentist: Cross-sectional hospital based study |
p. 117 |
Haifaa Mohamed Ibrahim, Elhadi Mohieldin Awooda DOI:10.4103/2278-9626.163329 Aim: To assess patient perception toward male or female dentists, whether gender stereotyping of dentists offering dental treatment played a role. The study then went further to investigate if patients reacted differently toward the dentist's gender when placed in certain situations. Materials and Methods: This study was conducted in Academy Dental Teaching Hospital, the total number of participants was 384 adult over 18 years male and female their number was equally divided. Data were collected by the use of a self-administered questionnaire. Questions were closed ended in which the patient had one of three options: male dentist, female dentist or no difference. The participants with experience of being treated by both a male and female dentist were only included. Data were analyzed using Chi-square test with a level of significance set at P < 0.05. Results: Overall there is no specific dentist gender preference among the studied population. With the decrease in patient's age an association was found concerning patients perception, the range of 18-39 years showed the highest percentage of preference toward a specific gender. More than half (62.2%) of patients stated that if given the choice, they would not choose a dentist gender of different sex. Conclusion: Gender was not an issue for patients when it came down to the treatment process, and it was however established that patients perceived certain characteristics represented specific dentist genders. Patients felt more relaxed when they were being treated by a female dentist, but felt male dentists showed more confidence during the treatment process. |
| [ABSTRACT] [HTML Full text] [PDF] [Mobile Full text] [EPub] [Citations (1) ] [Sword Plugin for Repository]Beta |
|
|
|
|
|
 |
Perceived sources of stress among dental college students: An Indian perspective |
p. 121 |
Tegbir Singh Sekhon, Simran Grewal, Ramandeep Singh Gambhir, Sumit Sharma DOI:10.4103/2278-9626.163335 Background: Identification of the potential sources of stress is important in dental education program, as it gives opportunity to take various measures to prevent stress in the dental school environment. The purpose of the present study was to address various sources of stress among dental school students and its relation with gender and year of the study. Materials and Methods: A questionnaire based cross-sectional study was conducted among 3 rd and 4 th year students of a dental school. Questionnaire used in the study comprised the modified version of the questionnaire used in Dental Environmental Stress. A four-point Likert scale was used to record the responses from the subjects. A total of 174 subjects participated in the study. Statistical analysis was done using SPSS package version 16. Results: Of the participants, 39% (68) were males and 61% (106) were females. Majority of students felt stressed about academic performance, clinic/patient related stress, and career related stress. Top stressors in academic performance related stress were exam and grade stress (95%), followed by fear of failing (90.5%), lack of time between tests/clinics, and criticism at work (94%). Mean stress scores were significantly related to year and gender of students. Conclusion: Worries about fulfilling clinical requirements, academics, exam stress, and insecurity regarding career were the major sources of stress reported by the clinical year dental students in the present study. |
| [ABSTRACT] [HTML Full text] [PDF] [Mobile Full text] [EPub] [Sword Plugin for Repository]Beta |
|
|
|
|
|
|
Safety evaluation on pH and fluoride content of locally available and packaged milk as a potential factor in dental fluorosis in Jaipur, India |
p. 127 |
Preeti Vishnani, Anup Nagaraj, Asif Yousuf, Shravani Ganta, Sonia Pareek, Siddharth Acharya, Kushpal Singh DOI:10.4103/2278-9626.163336 Objective : Milk being the most consumed food in the 1 st years of life and the fluoride exposure through infant foods including milk, during the critical period of tooth development may lead to dental fluorosis. Thus, the aim of the study was to assess and compare the pH using digital pH meter and fluoride content using the spectrophotometric method of locally available and packaged milk in Jaipur. Materials and Methods : Fluoride and pH analysis were carried out among 3 milk groups: (i) Locally available milk (ii) packet milk and (iii) packaged tetra-pack milk. A total of 19 samples were included in the study. Results : The mean fluoride content was found to be 0.017 (±0.003 standard error of mean) with a range of 0.001-0.02. The pH of the milk samples was found to be in the range of 4.46-7.11. Conclusion : In view of the results of the present study, milk consumption has no major impact on total daily dietary fluoride intake, but the pH of the soy-based tetra-pack milk was found to be less than critical pH. |
| [ABSTRACT] [HTML Full text] [PDF] [Mobile Full text] [EPub] [Sword Plugin for Repository]Beta |
|
|
|
|
|
 |
The diagnosis and therapeutic protocols of approximal caries by final-year dental students at Al-Quds University, Palestine |
p. 132 |
Tarek H Rabi DOI:10.4103/2278-9626.163337 Introduction: In this study, the major criterion used by 69 final-year dental students of Al-Quds University, Palestine, to ascertain the presence of approximal carious lesions through radiographs, and their subsequent treatment plan is outlined. Methods: This study was designed to be cross-sectional, whereby a questionnaire containing schematic radiographic diagrams of approximal carious lesions in molars of deciduous and permanent dentition were depicted. Th e extent of caries was divided into fi ve groups indicating different levels of enamel and dentin involvement: Caries extending to the external one-third of enamel, external two-thirds of enamel, up to the dentino-enamel junction (DEJ), external one-third of dentin, and two-thirds of dentin. Results: The absolute and relative frequencies of the study group's responses were recorded. Th e treatment decisions taken for caries in deciduous and permanent dentition were neither affected by age nor gender. Of the 69 subjects, 26.1% (18/69) chose to treat the approximal caries when it had spread to the DEJ in the deciduous dentition and 39.1% (27/69) chose to treat caries at the DEJ in the permanent dentition, showing a significant statistical variation in response. When studying the difference in response to treating deciduous and permanent dentitions, treating a lesion at the DEJ and within the outer third of dentin in deciduous dentition was lower than the latter in permanent dentition, with a treatment response of 26.1% (18/69) for deciduous and 39.1% (27/69) for permanent dentition for a lesion at the DEJ, and 24.3% (17/69) in deciduous and 33.3% (23/69) for permanent dentition for a lesion in the outer third of dentin. Conclusion: These results show a significant difference in the choice to treat approximal caries in deciduous and permanent dentitions, indicating a greater preference for treating caries within dentin in permanent dentition than in deciduous dentition. |
| [ABSTRACT] [HTML Full text] [PDF] [Mobile Full text] [EPub] [Sword Plugin for Repository]Beta |
|
|
|
|
|
|
| CASE REPORTS |
 |
|
|
 |
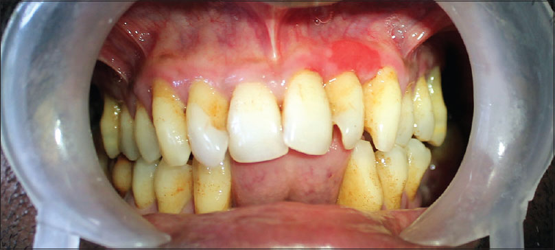
Desquamative gingivitis: A clinical sign in mucous membrane pemphigoid |
p. 136 |
Keshava Abbayya, Vidya Kadashetti, Rajendra Baad, Mohini Lohana DOI:10.4103/2278-9626.163338 Gingival desquamation is a clinical sign in which the gingiva appears reddish, friable with desquamation of epithelium. It may be the result of various disease process such as, mucous membrane pemphigoid (MMP), oral lichen planus, and pemphigus vulgaris which accounts for a major cause of desquamation. MMP is a rare chronic autoimmune disorder characterized by subepithelial bullae clinically and suprabasilar split histologically most commonly affecting the oral cavity manifesting as a desquamative gingivitis. Here is a case of pemphigoid appearing as a desquamative gingivitis. |
| [ABSTRACT] [HTML Full text] [PDF] [Mobile Full text] [EPub] [Citations (2) ] [Sword Plugin for Repository]Beta |
|
|
|
|
|
 |
Staged ridge-split evaluated using cone beam computed tomography and peri-implant plastic surgery in the mandibular arch |
p. 140 |
Nikhil Vasant Jain, Purva H Shinde, Gaurav R Poplai, Affaf A Gharatkar DOI:10.4103/2278-9626.163339 Lack of sufficient bone to place an implant at a functionally and an esthetically appropriate position is a common problem, especially in the mandibular posterior region. Narrow edentulous alveolar ridges <5 mm wide require bone augmentation before implant placement to establish a bony wall of at least 1 mm around the endosseous implant. Various surgical widening techniques are available, including lateral augmentation with or without guided bone regeneration, ridge-split technique and horizontal distraction osteogenesis. The ridge-split technique aims at creating a new implant bed by longitudinal osteotomy of the alveolar bone. The buccal cortex is repositioned laterally by greenstick fracture, and the space between the buccal and lingual cortices is filled with a graft material. Peri-implant plastic surgery focuses on harmonizing peri-implant structures by means of hard- and soft-tissue engineering and includes bone structure enhancement, soft-tissue enhancement, precision in implant placement and improves quality of the prosthetic restoration. The rationale for the peri-implant plastic surgery approach goes well beyond pure esthetics as it creates peri-implant keratinized mucosa and interimplant soft-tissue height in order to avoid food impaction, interimplant airflow, and speech problems. This case report demonstrates a staged ridge-split technique evaluated with cone beam computed tomography using a piezosurgical unit and a surgical technique to restore a papilla-like tissue at the time of the second-stage implant surgery. |
| [ABSTRACT] [HTML Full text] [PDF] [Mobile Full text] [EPub] [Sword Plugin for Repository]Beta |
|
|
|
|
|
 |
Facial talon cusp in a mesiodens: A rare occurrence |
p. 145 |
Sonu Acharya DOI:10.4103/2278-9626.163340 Supernumerary teeth are the ones which are extra in comparison to the normal dentition. The most common type of supernumerary, which is reported is mesiodens which is seen between maxillary central incisors. The supernumerary teeth may be associated with a syndrome or can be seen in nonsyndromic cases too. Talon cusp also known as Eagle's Talon is an accessory cusp like structure or an extra cusp on an anterior tooth, which is usually present in the palatal aspect of teeth. The association of mesiodens with a talon cusp is a rare occurrence itself. Here, we report a case of a facial talon cusp in a mesiodens in an 8-year-old male child, which is quite rare. |
| [ABSTRACT] [HTML Full text] [PDF] [Mobile Full text] [EPub] [Citations (1) ] [Sword Plugin for Repository]Beta |
|
|
|
|
|
 |
Retreatment of endodontically failed tooth with wide-open apex using platelet rich fibrin membrane as matrix and an apical plug of Biodentine™ |
p. 150 |
Ajinkya Mansing Pawar, Suraj M Pawar, Mansing G Pawar, Sharad R Kokate DOI:10.4103/2278-9626.163341 The primary reason for an endodontic failure is the persistence or regrowth of bacteria within the root canal system, and such cases require retreatment. The tooth root development and closure of its apex occurs till 3 years after the eruption. Traumatic injuries during this development period result in endodontic complications. While dealing with a tooth, with an open apex the prime objective was eliminating bacteria from the root canal system with minimum irritation to the periapical tissues and induction of apical closure to produce favorable conditions and to confine the root canal filling within the canal space. Traditionally as supported by literature multiple dressings of calcium hydroxide medicament were advocated to induce apical barrier formation followed by an evolution of the apical artificial barrier technique where the mineral trioxide aggregate (MTA) was used. Recently introduced Biodentine™ is similar to MTA with its basic composition, which can be used as its substitute. The main difficulty associated while treating teeth with wide-open apices are preventing the overfilling of the restorative materials that serve as an artificial barrier. Use of a matrix overcomes this challenge. Platelet-rich fibrin (PRF) a matrix of autologous fibrin, embedded with a large quantity of platelet and leukocyte cytokines during centrifugation can be successfully used as an apical membrane. The present case, reports a novel procedure of apexification of endodontically failed central incisor with open apex using PRF as apical membrane and Biodentine™. |
| [ABSTRACT] [HTML Full text] [PDF] [Mobile Full text] [EPub] [Citations (3) ] [Sword Plugin for Repository]Beta |
|
|
|
|
|
 |
Multidisciplinary approach in the immediate replantation of a maxillary central incisor - A six and a half year follow-up |
p. 155 |
Cristina Braga Xavier, Beatriz Farias Vogt, Giselle Daer Faria, Leandro Calcagno Reinhardt, Elaini Sickert Hosni, Josué Martos DOI:10.4103/2278-9626.163342 This report proposes a discussion of the various peculiarities of a tooth 21 replantation in a 9-year-old patient and describes different treatment facets and a 6-year follow-up of the case. The splint was maintained for a 3-month period. After a 1 year therapy with calcium hydroxide to control inflammatory resorption, the final canal obturation was performed 18 months after trauma with mineral trioxide aggregate. Two years after replantation, the orthodontic treatment had been initiated and 5 years after avulsion, whitening of tooth 21 was also done. Clinical and radiographic follow-up at regular intervals revealed that the treated tooth was still functional, showing normal mobility, resorption stabilization, and normal appearance of the bone tissue and lamina dura, testifying the treatment has been so far successful. The possibility of submitting avulsed teeth to other dental treatments once, there is close professional monitoring by controlling the risks and benefits of each therapy, as well as the patient's cooperation, extra-oral time, and storage media for transport to the dentist among other details is emphasized. |
| [ABSTRACT] [HTML Full text] [PDF] [Mobile Full text] [EPub] [Sword Plugin for Repository]Beta |
|
|
|
|
|
|
| COMMENTARY |
 |
|
|
|
Rubber dam application in endodontics: Evidence and practice |
p. 161 |
| Hany Mohamed Aly Ahmed |
| [HTML Full text] [PDF] [Mobile Full text] [EPub] [Sword Plugin for Repository]Beta |
|
|
|
|
|