|
Show all abstracts Show selected abstracts Add to my list |
|
| REVIEW ARTICLE |
|
|
 |
Effects of different desensitizing agents on bleaching treatments |
p. 93 |
Lam Hoi Po, Nairn Wilson Wilson DOI:10.4103/2278-9626.134829 The objective of this paper was to bring together and summarize the available information on the effects of different desensitizing agents on bleaching treatments. Information from all scientific papers and reviews identified in the Institute for Scientific Information Web of Science and PubMed using the search terms: Bleaching, whitening, brightening or color and desensitizing, fluoride, potassium nitrate, or amorphous calcium phosphate was included in the data collected and synthesized to produce the summary of findings and recommendations. The use of desensitizing agents in bleaching treatments may limit or control sensitivity, promote remineralization, increase enamel microhardness, and enhance the efficacy of the bleaching treatment. The use of desensitizing agents may exert a positive influence on the outcome of bleaching treatments. |
| [ABSTRACT] [HTML Full text] [PDF] [Mobile Full text] [EPub] [Citations (3) ] [Sword Plugin for Repository]Beta |
|
|
|
|
|
|
| ORIGINAL ARTICLES |
 |
|
|
 |
The quality of working impressions for the fabrication of fixed prosthodontics prostheses (crown and bridgework) |
p. 100 |
Ahmad Syahir Ahmad Zu Saifudin, Fazlieha Kamaruddin, Siti Mariam Ab Ghani DOI:10.4103/2278-9626.134831 Objective: The study was carried out to assess the quality of working impressions sent to commercial laboratories for fabrication of fixed prostheses. Materials and Methods: Impressions (n: 200) received by four dental laboratories were evaluated by two calibrated examiners. The type of work, tray designs, impression materials and techniques were recorded for each impression. Quality data on crucial details of the tooth preparations, voids at tooth preparations, tears along the finished margin line and flow of materials were documented and each criterion scored either with 2 (Good), 1 (Acceptable) or 0 (Unacceptable). The Chi-square test for independence was done for relationship analysis of the impression defects and different type of impression materials. Results: From 200 examined impressions, 53.9% were for crown works, 35.9% bridge works, 1.4% posts and cores and 8.8% for other types of work. The impression materials used were polyether (39.5%) and polyvinyl-siloxane (60.5%). The two main types of trays were metal stock (48.5%) and disposable plastic (37.5%). Impression techniques were monophase one-step technique (50.0%), putty wash two-steps technique (23.5%), putty wash one-step technique (15.5%) and dual phase one-step technique (11.0%). Overall, 64.5% of the impressions sent had unacceptable quality (0 score recorded for at least one criteria). The proportions of impression defects were significant to the type of impression materials (P < 0.05). Conclusion: The percentage of unacceptable impressions (64.5%) sent to the laboratories is a serious concern, as it contributes to the inaccuracy of the crown and bridgeworks provided to patients. |
| [ABSTRACT] [HTML Full text] [PDF] [Mobile Full text] [EPub] [Citations (2) ] [Sword Plugin for Repository]Beta |
|
|
|
|
|
|
A survey to access knowledge and practice among dentists regarding local anesthetic dosage in three cities of Uttarakhand |
p. 105 |
Laxman Singh Kaira, Esha Dabral DOI:10.4103/2278-9626.134832 Objective: Local anesthetics are the most commonly used drugs in routine dentistry. Although they are considered effective and safe in controlling pain during dental procedures, complications related to their use appear inevitable. Many dentists use these drugs routinely but are unaware of the dose calculations required and the maximum safe and effective dose of the drug. Materials and Methods: This study was aimed to determine the knowledge that general dental practitioners and dental specialists, in three different cities in India, have regarding dose calculations and the maximum-dose required of the most commonly used local anesthetics. A one page survey questionnaire was used in this study and data were analyzed using standard SPSS statistical program version 11, software (SPSS Inc. Chicago, Illinois, USA). Results: The respondents comprised 71.4% general dental practitioners and 28.5% dental specialists, with ages ranging from 26 to 50 years; Nearly 75% of the total respondent was males and 25% females. Nearly 69% of the respondents were unaware of the maximum recommended dose for use on adult, healthy patients and 81% were still confused about the maximum numbers of syringes containing 2% lignocaine with adrenaline that can be given to a patient. A total of 49% of general dental practitioners and specialists do not perform aspiration when injecting local anesthetics, whereas only 38% performed the aspiration in inferior nerve block technique, while only 12% performed aspiration in all types of injection techniques. A high percentage of the dentists (84%) who responded are unaware of how to calculate the local anesthetic dose and 31% of them encountered complications during, or after, local anesthetic administration. Conclusion: General practitioners and dental specialists appear to have an inadequate knowledge about local anesthetics maximum-dose and dose calculations; further educational courses are recommended to update them regarding such important aspects of dentistry. |
| [ABSTRACT] [HTML Full text] [PDF] [Mobile Full text] [EPub] [Sword Plugin for Repository]Beta |
|
|
|
|
|
 |
The use of medication as a preemptive strategy in teething children in a Nigerian community |
p. 109 |
OI Opeodu, OO Denloye DOI:10.4103/2278-9626.134833 Context: Teething, which is the eruption of primary teeth in infancy, had been associated with various types of symptoms by both the parents and some healthcare workers. The association of symptoms with teething had led to the use of medications to alleviate these symptoms, which in some cases had claimed the lives of some of the children. Aims: This study aims at assessing the belief and practice of nursing mothers concerning the use of pre-emptive medications for children in order to prevent perceived symptoms of teething. Settings and Design: Cross-sectional study among nursing mothers who brought their children to immunization clinic. Subject and Methods: An interviewer-administered questionnaire was used to assess the belief of nursing mothers on the use of pre-emptive medications against perceived symptoms of teething, the drugs used and the age of their children when they started using the drug(s). Statistical Analysis: Data analysis was done using statistical package for social sciences (SPSS) version 14. Analysis included frequency, mean of quantitative values and cross tabulations. Chi-square test was used to assess the relationship between those mothers, who believed that the medication should be used and those who did not believe in relationship with their age and their socio-economic status. Results: A total of 290 nursing mothers were assessed with 169 (58.3%) believing that drugs should be used as a pre-emptive measure for teething to be uneventful. Twenty-five (8.6%) of the mothers started the medications soon after birth, whereas 34.5% started it after the third month of life. Conclusions: There is the need for greater public enlightenment in order to reduce the use of medication(s) as a pre-emptive measure against "teething" as seen among the studied group. |
| [ABSTRACT] [HTML Full text] [PDF] [Mobile Full text] [EPub] [Citations (1) ] [Sword Plugin for Repository]Beta |
|
|
|
|
|
 |
Effect of disinfection of irreversible hydrocolloid impression materials with 1% sodium hypochlorite on surface roughness and dimensional accuracy of dental stone casts |
p. 113 |
Andressa Rodrigues Dorner, João Maurício Ferraz da Silva, Eduardo Shigueyuki Uemura, Alexandre LuizSouto Borges, Virgilio Vilas Boas Fernandes Junior, Eron Toshio Colauto Yamamoto DOI:10.4103/2278-9626.134835 Aim: The aim of this study was to evaluate the effect of disinfection of commercially available irreversible hydrocolloid impression materials with 1% sodium hypochlorite on the surface roughness and dimensional accuracy of dies produced using type IV dental stone. Materials and Methods: Four different brands of irreversible hydrocolloid impression materials were used as follows: Jeltrate Plus without disinfection (GJ), Jeltrate Plus with disinfection (GJD), Hydrogum without disinfection (GH), Hidrogun with disinfection (GHD), Hidrogum 5 Days without disinfection (GH5), Hidrogum 5 Days with disinfection (GH5D), Cavex without disinfection (GC), and Cavex with disinfection (GCD). A total of 80 dies were poured using type IV dental stone and their mean surface roughness was evaluated using rugosimeter (Mitutoyo SJ-400). To conduct the dimensional alteration analysis, type IV dental stone casts were obtained from a matrix made of chemically-activated resin. They were analyzed in a coordinate-measuring machine (Brown and Sharpe). Statistics Analysis: Numerical data were analyzed using analysis of variance (ANOVA) with Tukey's post hoc test at 5% confi dence interval. Results: Hidrogun 5 Days and Cavex showed the least surface roughness value even after 5 days. There were no significant differences in the dimensional alteration of Jeltrate (GJ and GJD) and Hidrogum (GH and GHD) in relation to the "new brands" Hidrogum 5 (GH5 and GH5D) and Cavex (GC and GCD), even after 5 days of storage. Conclusion: Considering the results obtained, it can be concluded that there was a roughness increase in the die stones poured from irreversible hydrocolloids disinfected with sodium hypochlorite. |
| [ABSTRACT] [HTML Full text] [PDF] [Mobile Full text] [EPub] [Citations (1) ] [Sword Plugin for Repository]Beta |
|
|
|
|
|
|
An assessment of medical doctors' perception of possible interrelationship between oral and general health |
p. 120 |
OI Opeodu, TJ Ogunrinde, AJ Fasunla DOI:10.4103/2278-9626.134836 Background: The possibility of some systemic diseases having oral manifestation is well established with the recent discovery that some oral diseases also adversely affect the general health of an individual. The question is, is the relationship casual or causal? Aim: To assess the perception of medical doctors concerning the possible link of oral diseases as causal/confounding factors of systemic diseases. Materials and Methods: A cross-sectional survey of 250 medical doctors was carried out in three tertiary health institutions in Nigeria. Questionnaires were distributed to resident doctors to assess their perception as to the possibility of any causal relationship between the general systemic diseases and oral diseases. Results: Two-hundred and seven completely filled questionnaires were returned out of the 250 distributed. Over 50% of the respondents strongly agreed to the fact that there is a link between oral diseases and conditions such as diabetes mellitus, rheumatic heart disease, valvular heart disease, and human immunodeficiency virus/acquired immune deficiency syndrome HIV/AIDS. Hypertension and premature low birth weight has the highest percentage (18.8%) of respondents strongly disagreeing with the possibility of having any link with the state of the oral health. There was a statistically significant difference in the perception of the possible link between the state of oral health and myocardial infarction between male and female respondents (P < 0.04) and also when the age-groups were considered in relationship with valvular heart disease (P < 0.02). Conclusion: This study revealed that doctors' perception of the influence of dental disease/condition on the general state of patients' health was deficient and, therefore, require improvement through health education and awareness. |
| [ABSTRACT] [HTML Full text] [PDF] [Mobile Full text] [EPub] [Citations (2) ] [Sword Plugin for Repository]Beta |
|
|
|
|
|
|
Burden of oral diseases and dental treatment needs of an urban population in Port Harcourt, Rivers State, Nigeria |
p. 125 |
Braimoh Omoigberai Bashiru, Soroye Modupeoluwa Omotunde DOI:10.4103/2278-9626.134838 Objectives: The objective of the following study is to determine the burden of oral disease and oral hygiene practices among urban population in Port Harcourt, Rivers State Nigeria. Materials and Methods: Individuals who attended the free screening exercise as part of activities to mark 2013 World Oral Health Day were recruited for this study. Data were collected through self and interviewer-administered questionnaire and clinical oral examination. Results: One hundred and sixty subjects between the ages of 5 and 78 years participated in the study. Females (59.4%) were significantly (P = 0.005) more than males (40.6%). Most of the participants (57.5%) were between 16 and 30 years. Only 33% of the screened population had visited a dentist and most of the previous visits (91%) were to the Dental Center of University of Port Harcourt Teaching Hospital. All the participants cleaned their teeth using toothpaste and toothbrush with 83.4% doing it once a daily. The prevalence of gingival bleeding and dental caries was 91.9% and 23.1%, respectively. Conclusion: The burden of oral disease and unmet dental treatment needs among the study population were high. Majority of the participants cleaned their teeth once daily; this falls short below the internationally recommended twice daily. There is a need to advocate for the creation of an enabling environment for oral health through government policies that will be focused on preventive and restorative care. |
| [ABSTRACT] [HTML Full text] [PDF] [Mobile Full text] [EPub] [Sword Plugin for Repository]Beta |
|
|
|
|
|
 |
Evaluation of patient perceptions after labial frenectomy procedure: A comparison of diode laser and scalpel techniques |
p. 129 |
Kalakonda Butchibabu, Pradeep Koppolu, Ashank Mishra, Ruchi Pandey, Lingam Amara Swapna, Uday Kiran Uppada DOI:10.4103/2278-9626.134839 Background: Frenectomy is the complete excision of the frenum along with its attachment to the underlying bone. It can be done by conventional technique, electrosurgery or soft tissue lasers. Aim: To evaluate the effects of diode laser and scalpel technique on degree of post-operative pain and discomfort experienced by patients on the 1 st , 3 rd and the 7 th post-operative days after frenectomy. Materials and Methods: Ten patients who required frenectomy were randomly assigned to undergo treatment with diode laser or scalpel. The data were analyzed with paired t-test and intragroup comparison was determined by ANOVA. Results: Intergroup comparison of the mean VAS scores for discomfort and pain for both the groups showed significant difference. The VAS scores of pain and discomfort within scalpel group between 1 st and 3 rd day did not show any significant difference, however between 7 th day versus 3 rd and 1 st day difference was highly significant. The VAS scores of pain and discomfort within laser group between all the days showed significant difference. Conclusion: Taking into consideration the clinical outcome, the diode laser is a dependable alternative as it is an efficient and satisfactory option for procedures like frenectomy. |
| [ABSTRACT] [HTML Full text] [PDF] [Mobile Full text] [EPub] [Citations (6) ] [Sword Plugin for Repository]Beta |
|
|
|
|
|
 |
Clinical efficacy of chlorhexidine chips and tetracycline fibers as an adjunct to non surgical periodontal therapy |
p. 134 |
Munishwar Singh, AK Shreehari, PK Garg, Sangeeta Singh DOI:10.4103/2278-9626.134840 Context: Local drug delivery agents. Aims: To clinically evaluate the efficacy of Chlorhexidine chip (PerioCol™ CG) with Tetracycline fibers (Periodontal Plus AB™). Settings and Design: Randomized controlled, split mouth study design with an observation period of six months. Materials and Methods: Patients were allocated in 3 experimental treatment groups, Group A: SRP + CHX Chip, Group B: SRP + Tetracycline fibers, and Group C: SRP alone (control group). 420 bleeding sites in 35 patients (18 females and 17 males) with chronic periodontitis (5-8mm probing depth), were evaluated clinically for pocket probing depth (PD), Clinical Attachment level (CAL), and Bleeding on Probing (BoP). Statistical Analysis: T-test and CV. Results: All the treatment groups were found to be efficacious as demonstrated by improvement in PD, CAL, and BoP. In the short term, CHX group showed increased gain of CAL but on long term observation the Tetracycline fiber group showed better consistent clinical results in comparison to the other two groups. Conclusions: Group B (SRP + Tetracycline fibers) resulted in better optimum clinical results in comparison to the other two treatment groups. |
| [ABSTRACT] [HTML Full text] [PDF] [Mobile Full text] [EPub] [Citations (2) ] [Sword Plugin for Repository]Beta |
|
|
|
|
|
 |
Assessment of mandibular ramus thickness in Afro-Brazilian subjects using computed tomography |
p. 140 |
Paula Bonfim Almeida Costa, Marcos Alan Vieira Bittencourt, Iêda Margarida Crusoé Rocha Rebello DOI:10.4103/2278-9626.134842 Purpose: The purpose of this study was to investigate whether the skeletal pattern in the anteroposterior and vertical directions influences mandibular ramus thickness in Afro-Brazilian subjects, using computed tomography (CT). Materials and Methods: CT images of 45 individuals of Afro-Brazilian, from both genders, aged ranges between 19 and 46 years, were used. Determination of the skeletal pattern in the anteroposterior direction was based on the association of the ANB and WITS values, and in the vertical direction, through the GoGn-SN angle. Measurement of the mandibular ramus was performed just above the lingula in the coronal plane after three-dimensional reconstruction of the image and multiplanar analysis. Results: Twenty-seven of the 45 images were from individuals with Class I skeletal pattern, 13 Class II and 5 Class III, with means of 7.19 mm, 7.15 mm and 7.3 mm, respectively (P = 0.95). In the vertical direction, 4 individuals exhibited reduced vertical skeletal pattern, 28 normal pattern and 13 increased pattern, with means of 7.01 mm, 7.15 mm and 7.33 mm, respectively (P = 0.77). Conclusion: No statistically significant difference was found in mandibular ramus thickness in the different skeletal patterns, both in the anteroposterior and vertical directions. |
| [ABSTRACT] [HTML Full text] [PDF] [Mobile Full text] [EPub] [Sword Plugin for Repository]Beta |
|
|
|
|
|
 |
Evaluation of masticatory performance in subjects with shortened dental arch: A comparative study |
p. 146 |
Mayank Singh, Arvind Tripathi, Neerja Raj, Raghuwar D Singh DOI:10.4103/2278-9626.134843 Objectives: The purpose of this study was to evaluate the masticatory performance of shortened dental arches (SDAs) compared with the complete dentition. Materials and Methods: A total of 28 subjects with the age group of 45-60 years were selected in the study, which were equally divided into two groups - subjects with shorten dental arch (missing molars; case group) and subjects with complete dentition (control group). Masticatory performance was evaluated by a multiple sieve method on the basis of median particle size of the fragmented particles. Roasted peanuts were used as test food. A method of measuring masticatory performance developed by Manly and Braley and modified by Kapur and Soman was used in this study. Assessment of chewing ability level was also done by asking structured questionnaire. Each question was answered on a four point rating scale. Results: Overall masticatory performance in control group ranged from 60% to 70.5% with standard deviation (SD) of 3.20. The male subjects showed higher masticatory performance with SD of 2.60% when compared to females with SD of 1.77%. The overall masticatory performance in case group ranged between 50.6% and 59%, respectively. The male subjects showed higher masticatory performance with SD of 2.29 when compared to females with SD of 1.08. On comparing both groups, it was found that masticatory performance of control group (3.20) was higher when compared to case group (2.59). Conclusions: Within the limitations of this study, it can be concluded that SDA subjects have masticatory performance and patient satisfaction level within acceptable range to that of complete dental arch subjects. |
| [ABSTRACT] [HTML Full text] [PDF] [Mobile Full text] [EPub] [Citations (2) ] [Sword Plugin for Repository]Beta |
|
|
|
|
|
|
Knowledge of dental practitioners on the management of oral conditions in pregnancy in South Nigeria |
p. 150 |
Omoigberai Bashiru Braimoh, Nzube Anthony Ilochonwu DOI:10.4103/2278-9626.134844 Objective: Dental care is often avoided and misunderstood in pregnancy. The objective of this study was to evaluate the knowledge of dentists on the provision of dental care during pregnancy. Subjects and Methods: A cross-sectional descriptive study among 76 dental practitioners in two Tertiary Health Institutions in Nigeria. The study participants were approached at their duty posts and informed consent was obtained before administering the questionnaire. Data were collected using pretested self-administered questionnaire and analyzed using IBM SPSS statistics version 20.0 (New York, United States). Results: Forty-seven (63.5%) of the participants were registrars, 48 (64.9%) were more than 35 years, and 40 (54.1%) had practiced for more than 5 years. Majority, 61 (82.4%) of the participants were willing to provide dental treatment during pregnancy. Registrars, 39 (64%) were significantly (P = 0.03) more likely to provide dental care during pregnancy than house officers. While 44 (59.5%) of dentists knew the best time to take dental radiograph was the second trimester of pregnancy, 48 (64.9%) knew dental radiographs could be taken in any trimester of pregnancy. Dentists who knew it was safe to use composite and amalgam during pregnancy and perform root canal treatment in the first trimester of pregnancy were 56 (75.6%), 59 (79.5%) and 13 (17.6%), respectively. Conclusion: Though the knowledge of the dentists on dental care during pregnancy was good, this need to be improved upon. Therefore, there is a need to develop guidelines and train dentists on dental care during pregnancy. |
| [ABSTRACT] [HTML Full text] [PDF] [Mobile Full text] [EPub] [Sword Plugin for Repository]Beta |
|
|
|
|
|
|
| CASE REPORTS |
 |
|
|
 |
Oeler's type III dens invaginatus: A case report with 1-year follow-up |
p. 155 |
Liza George, Ajit G Mohan, Justin Mathew DOI:10.4103/2278-9626.134846 Dens invaginatus is a rare anomaly that occurs due to deepening of enamel organ into the root, either fully or partially during tooth development. The purpose of this paper is to present a case of Oehler's type III dens invaginatus on a maxillary left lateral incisor with a large periapical lesion. Combined endodontic therapy and surgery showed good healing when the patient was evaluated clinically and radiographically after 1-year. This case report highlights the importance of proper debridement of the main canal of a case of dens invaginatus because of its complex anatomy. |
| [ABSTRACT] [HTML Full text] [PDF] [Mobile Full text] [EPub] [Citations (2) ] [Sword Plugin for Repository]Beta |
|
|
|
|
|
 |
Dental management of a child with Goldenhar syndrome |
p. 158 |
Priya Subramaniam, KL Girish Babu, Shurti Jayasurya, Divya Prahalad DOI:10.4103/2278-9626.134849 Goldenhar syndrome is a condition with a multitude of abnormalities, classically involving ocular and ear defects, hemifacial microsomia and vertebral anomalies, which may also be associated with cardiovascular and renal malformations. This case-report presents the dental management of a 5-year-old boy diagnosed with Goldenhar syndrome. |
| [ABSTRACT] [HTML Full text] [PDF] [Mobile Full text] [EPub] [Sword Plugin for Repository]Beta |
|
|
|
|
|
 |
Combined treatment of a lateral incisor with palato-radicular groove: 1 year follow-up |
p. 163 |
Gülen Kamak, Sümeyra Akman DOI:10.4103/2278-9626.134852 Periodontic - endodontic lesion with a palato-radicular groove as a contributing factor for periodontitis is the most important diagnostic and therapeutic challenges faced by periodontists and the maxillary lateral incisors are the most frequently affected teeth. These developmental grooves promotes the accumulation of plaque and calculus, which destroys the sulcular epithelium and later deeper parts of the periodontium, finally resulting in the formation of a severe localized periodontal lesion since proper cleaning of that site is difficult, if not impossible, for the patient. There are different types of treatment such as scaling and root planning, odontoplasty, amalgam restoration, and extraction of the tooth to treat palatogingival groove and associated periodontal bone defects. In this case, a successful management of an endodontic-periodontal combined lesion by combined treatment and guided tissue regeneration was presented. |
| [ABSTRACT] [HTML Full text] [PDF] [Mobile Full text] [EPub] [Sword Plugin for Repository]Beta |
|
|
|
|
|
 |
Oral vesiculobullous lesions: Consider the platelets |
p. 167 |
Clare Steel, Lorna Mann, Richard Crosher DOI:10.4103/2278-9626.134854 Oral vesiculobullous lesions or "blood blisters" can be found on a routine dental examination and may have many causes. Trauma is often the first diagnosis followed by a variety of bullous conditions, such as pemphigus and pemphigoid. Using a case report, we highlight the other, more serious, possibility of idiopathic thrombocytopenic purpura (ITP) to raise awareness to the General Dental Practitioners and the need for prompt treatment. |
| [ABSTRACT] [HTML Full text] [PDF] [Mobile Full text] [EPub] [Citations (2) ] [Sword Plugin for Repository]Beta |
|
|
|
|
|
 |
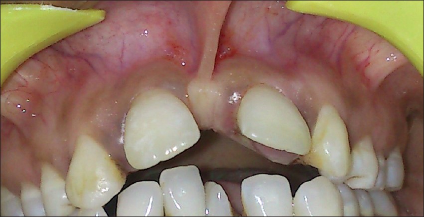
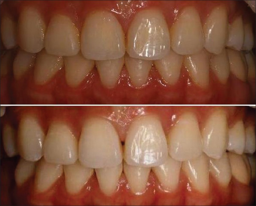
Improving smile and dental esthetics: A comprehensive periodontal and restorative approach after orthodontics |
p. 170 |
Eros Chaves, Juan Rodriguez, Maria F. S. Peres, Geoffrey Cunningham DOI:10.4103/2278-9626.134856 The esthetic demands in smile are continually rising, being thus, critical factors such as; dental midline, smile line, incisal embrasures, tooth position, width to length crown ratio, symmetry of contra-lateral gingival margins, and gingival display need to be taken into consideration. The aim of this case report is to describe the improvement of smile esthetics in a patient that after orthodontic therapy, presented excessive gingival display, asymmetric gingival margins, and shape altered upper right and left lateral incisors, which in turn compromised dental esthetics. The present clinical case required comprehensive treatment process, including proper diagnosis and excellent communication between the prosthodontist and periodontist in order to carry out successful esthetic crown lengthening and restorative dentistry. Results were followed-up for 2 years after the case completion. A pleasant smile was obtained, showing stability over time. |
| [ABSTRACT] [HTML Full text] [PDF] [Mobile Full text] [EPub] [Citations (3) ] [Sword Plugin for Repository]Beta |
|
|
|
|
|
|
| LETTER TO EDITOR |
 |
|
|
 |
Giant calculus |
p. 174 |
Treville Pereira, Subraj Shetty, Svylvy Pereira DOI:10.4103/2278-9626.134857 |
| [HTML Full text] [PDF] [Mobile Full text] [EPub] [Sword Plugin for Repository]Beta |
|
|
|
|
|