|
Show all abstracts Show selected abstracts Add to my list |
|
| EDITORIAL |
|
|
 |
Changing the attitudes and behaviours of patients |
p. 95 |
Nairn H. F. Wilson DOI:10.4103/2278-9626.112302 |
| [HTML Full text] [PDF] [Mobile Full text] [EPub] [Sword Plugin for Repository]Beta |
|
|
|
|
|
|
| INVITED REVIEW |
 |
|
|
 |
Visualization in endodontics |
p. 96 |
James K Bahcall DOI:10.4103/2278-9626.112303 The field of endodontics has witnessed significant technological advances over the past decade. One area of advancement has been the evolution of endodontic visualization. As we begin to view conventional and surgical endodontic treatments as microsurgical procedures, we encounter the same demands for critical visualization as do areas within the field of medicine that perform microsurgery. This article will discuss the use of loupes, microscopes, endodscopes and orascopes in endodontic treatment. |
| [ABSTRACT] [HTML Full text] [PDF] [Mobile Full text] [EPub] [Sword Plugin for Repository]Beta |
|
|
|
|
|
|
| REVIEW ARTICLES |
 |
|
|
 |
Periodontal disease and overall health: An update |
p. 102 |
Prashanth Balakesavan, Sneha R Gokhale, Vijay Deshmukh, Ray C Williams DOI:10.4103/2278-9626.112304 Periodontitis is a chronic inflammatory disease caused by a mixed microbial infection. The disease is a result of a complex interaction between the bacteria and the susceptible host. The host reaction to the microbial flora leads to a release of pro-inflammatory cytokines and a low grade inflammatory response that has an effect on the overall health status of the patient. Periodontitis has been associated with several systemic conditions such as cardiovascular disease, diabetes, adverse pregnancy outcomes and respiratory infections. In recent years, the relationship of periodontitis to overall health has been explored by numerous researchers who have expanded our understanding of periodontal disease as it affects the overall health of human subjects. This article further examines the relationship of periodontitis to overall health and throws a light on recent associations. |
| [ABSTRACT] [HTML Full text] [PDF] [Mobile Full text] [EPub] [Sword Plugin for Repository]Beta |
|
|
|
|
|
|
Nanodentistry: New buzz in dentistry |
p. 109 |
Madhurima Mikkilineni, Anitha S Rao, Muralidhar Tummala, Soujanya Elkanti DOI:10.4103/2278-9626.112305 There is an unavoidable development in the progress of science; nanotechnology has been part of the mainstream scientific theory with potential medical and dental applications since the early 1990s. Dentistry is undergoing another change with the help of nanotechnology combined with nanomaterials, biotechnology and ultimately dental nanorobotics. Nanodentistry will make possible maintenance of comprehensive oral health by employing nano tissue devices which will allow precise controlled oral analgesia, dentine replacement therapy, permanent hypersensitivity cure and complete orthodontic realignment etc., all in a single office visit, covalently bonded diamondized enamel and continuous oral health maintenance through the use of mechanical dentifrobots. There is an increase in optimism that nanotechnology applied to dentistry will bring significant advances in the diagnosis, treatment and prevention of disease. This article enlightens about potential applications of nanotechnology in dentistry and to illustrate their potentially far reaching impact on clinical dental practice. |
| [ABSTRACT] [HTML Full text] [PDF] [Mobile Full text] [EPub] [Citations (3) ] [Sword Plugin for Repository]Beta |
|
|
|
|
|
|
| ORIGINAL ARTICLES |
 |
|
|
 |
Correlation of body mass index with eruption time of permanent first molars and incisors and caries occurrence: A cross-sectional study in school children in Uttar Pardesh, India |
p. 114 |
Robin Sabharwal, Shamindra Sengupta, Bhudev Sharma, Sanjeet Singh, Varun Rastogi DOI:10.4103/2278-9626.112306 Aims and Objectives: To determine the mean eruption time of permanent first molars and incisors; to compare this with Body Mass Index (BMI); to correlate the caries frequency with BMI. Materials and Methods: 100 school children of 'just erupted' teeth of age 5-10 years were obtained from 10 different schools of Modinagar city, Uttar Pradesh. Weight and height of these individuals were measured and the clinical examination of the oral cavity was done to assess the caries frequency and the eruption status of permanent teeth. Pearson correlation coefficient was utilized to find the correlation between BMI, eruption time and caries frequency. Results: BMI and eruption time were found to be negatively associated. A strong positive and significant correlation was observed between BMI and (dft + DFT) score for overweight females, while no significant difference was observed in case of males. Conclusion: Eruption time of permanent first molars and incisors increases with decrease in BMI values, while caries frequency increases with increase in BMI values. |
| [ABSTRACT] [HTML Full text] [PDF] [Mobile Full text] [EPub] [Citations (3) ] [Sword Plugin for Repository]Beta |
|
|
|
|
|
 |
A cytological analysis of the oral mucosa adjacent to orthodontic devices |
p. 119 |
Raul Magnoler Sampaio Mei, Antônio Adilson Soares de Lima, Jorge César Borges Leão Filho, Orlando Motohiro Tanaka, Odilon Guariza Filho, Elisa Souza Camargo DOI:10.4103/2278-9626.112308 Objectives: The objective of this study, was to evaluate the cytometry and cytomorphology of oral mucosa epithelial cells adjacent to orthodontic accessories using liquid-based exfoliative cytology. Materials and Methods: We placed metallic brackets on the upper pre-molars with stainless steel wires and metal or elastic ties on 20 people of both sexes, with an average age of 22.7 years. We evaluated nucleus area (NA), cytoplasm area (CA), and NA/CA ratio before installation (T0, baseline), 30 days after installation (T1), and 30 days after the accessories were removed (T2). Results: We verified a reduction in NA and an increase in CA with both types of ties at T1 ( P<0.05 vs. T0), with a tendency to return to baseline values at T2 ( P<0.05 vs. T0). At T1 and T2 we observed a predominance of surface cells over subsurface cells. Conclusions: The orthodontic appliance causes adaptive cell changes characterized by an increased level of keratinization of the oral mucosa, with a tendency to return to the normal state after removal of the mechanical stimulus of the orthodontic devices. |
| [ABSTRACT] [HTML Full text] [PDF] [Mobile Full text] [EPub] [Citations (2) ] [Sword Plugin for Repository]Beta |
|
|
|
|
|
 |
Comparative analysis of adhesive failure of orthodontic resins: An in vitro mechanical test with the finite element method |
p. 124 |
Ana Leticia Rocha Avila, Mildred Ballin Hecke, Ana Paula Gebert de Oliveira Franco, Marco Antonio Amorin Vasco, Dauro Douglas Oliveira, Orlando Motohiro Tanaka DOI:10.4103/2278-9626.112309 Objective: The purpose of this study was to validate finite element (FE) method as a reliable adhesive shear strength test method by investigating and comparing the results from in vitro mechanical tests and 3-D FE simulations. Materials and Methods: Four groups of teeth ( n=15) using Transbond XT (3M Unitek, Monrovia, CA) and Enlight Ormco (Glendora, CA) with metallic and ceramic brackets (Twin-Edge and InVu, TP Orthodontics, Inc., La Porte, IN) were obtained and submitted to shear bond strength tests. Subsequently, an equivalent geometric model was subjected to FE modeling analysis. ANOVA tests indicated a statistically significant difference ( P<0.05) between the shear bond strength of the two bracket types regardless of the resin, and there was no interaction between the resin and bracket type. Results: FE analysis showed the stress distribution in the adhesive layer and revealed an increased stress distribution in the ceramic brackets. These results were consistent with in vitro detachment experiments. Conclusions: This study establishes that FE sub-modeling can be used to simulate adhesive resistance. |
| [ABSTRACT] [HTML Full text] [PDF] [Mobile Full text] [EPub] [Sword Plugin for Repository]Beta |
|
|
|
|
|
 |
Evaluation of microflora of root carious lesions in different age groups: A microbiological study |
p. 130 |
Ashok Aparna, Mithra N Hegde, Veena Shetty DOI:10.4103/2278-9626.112310 Aim: To evaluate the prevalence of mutans streptococci, lactobacilli and Actinomyces species in root carious lesions in middle-aged and older adults of South Indian population and to comparatively evaluate the microbial count in two different age groups. Materials and Methods: Specimens of root carious lesions were collected from 60 adults for bacteriological studies. Amongst which 28 subjects belonged to middle age group (35-44 years) and 32 subjects to older age group (55-75 years). Standard procedures of culture, isolation and identification of aerobic and anaerobic bacteria were adopted in the study. Results: The analysis of results was performed using Chi-square test. SPSS 20 has been used to analyze the data. Among the isolated microorganisms, streptococci (56.7%) and lactobacilli (28.3%) were more prevalent in root caries lesions compared to actinomyces species (15.0%) and most frequently occurred in older adults. There is also a statistically significant association between the age group and the presence of lactobacillus (P=0.024). Conclusions: Aerobic Gram-positive cocci (Streptococcus mutans, lactobacillus) as well as anaerobic bacteria (Actinomyces spp.), occurred most frequently in root carious lesions in older adults as compared to middle-aged population. |
| [ABSTRACT] [HTML Full text] [PDF] [Mobile Full text] [EPub] [Citations (1) ] [Sword Plugin for Repository]Beta |
|
|
|
|
|
 |
In vitro antimicrobial efficiency of different root canal sealers against Enterecoccus faecalis |
p. 134 |
Yakup Ustun, Burak Sagsen, Suleyman Durmaz, Duygu Percin DOI:10.4103/2278-9626.112311 Objective: The antibacterial effectiveness of four different sealers AH Plus, EndoRez, mineral trioxide aggregate (MTA) Fillapex, iRoot SP against Enterococcus faecalis was evaluated by time kill assay method in vitro. Materials and Methods: Four sealers are used in this study: An epoxy resin-based sealer, AH Plus (Dentsply, Maillefer, Switzerland), a polymethacrylate resin-based sealer, EndoRez (Ultradent, South Jordan, UT) and two calcium silicate-based sealers, MTA Fillapex (Angelus Solucxoes Odontologicas, Londrina, Brazil), iRoot SP (Innovative BioCreamix Inc., Vancouver, Canada). Each sealer was mixed according to manufacturer's instructions. Five mg of each sealer was added to sterile tubes separately and evaluated at 20 min, 24 h, 7 days, and 30 days. Two tubes were used as positive and negative. Results: At the 20 th min AH Plus and iRoot SP were bactericidal, MTA Fillapex, and EndoRez were ineffective at the 20 th min. At the 1 st day MTA Fillapex was ineffective and rest of the sealers was bacteriostatic. At the 7 th day, only MTA Fillapex showed bactericidal effect, AH Plus, iRoot SP and EndoRez were bacteriostatic. At the 30 th day, MTA Fillapex was still bactericidal, AH Plus, iRoot SP, and EndoRez were still bacteriostatic. Conclusion: All root canal sealers tested were effective against E. faecalis. Fresh iRoot SP and fresh AH Plus had bactericidal action against E. faecalis. EndoRez has bacteriostatic behavior against E. faecalis. MTA Fillapex was the only sealer that could be bacteriocidal at 7 th and 30 th day. |
| [ABSTRACT] [HTML Full text] [PDF] [Mobile Full text] [EPub] [Citations (2) ] [Sword Plugin for Repository]Beta |
|
|
|
|
|
|
Barriers to the utilization of dental services in Shimla, India |
p. 139 |
Shailee Fotedar, KR Sharma, Vinay Bhardwaj, GM Sogi DOI:10.4103/2278-9626.112314 Objective: The objective of this study was to determine the barriers to regular dental attendance for check- up in a rural population in Shimla Himachal Pradesh. Materials and Methods: A cross-sectional questionnaire survey was conducted among 319 adults in the area of Thari Panchayat, Shogi, Shimla. The data was analyzed by SPSS version 13. Statistical tests used were chi square and multiple-variate analysis. Results: The response rate of the study was 96.8%. 46 (15.1%) visited a dentist within the previous one year. The most common reasons for the last dental visit were pain or a dental emergency (208, 68.5%). The most commonly reported reason for not seeking dental care was "no need to visit a dentist unless there is pain" by 190 (62.5%) in bivariate analysis as well as in multiple logistic regression analysis (Odds ratio: 1.95; CI: 1.71-2.22). Conclusion: Our findings suggest that only a small portion of population visited dentist in previous one year. They believe that visiting a dentist is necessary only for pain relief. Thus it is important to give them awareness programmes about the good oral health and motivating them to use the services available. |
| [ABSTRACT] [HTML Full text] [PDF] [Mobile Full text] [EPub] [Citations (5) ] [Sword Plugin for Repository]Beta |
|
|
|
|
|
 |
Comparison of two different restoration materials and two different implant designs of implant-supported fixed cantilevered prostheses: A 3D finite element analysis |
p. 144 |
Ahmet Kursad Culhaoglu, Serhat Emre Ozkir, Gozde Celik, Hakan Terzioglu DOI:10.4103/2278-9626.112315 Purpose: A key factor for the success or failure of a dental implant is the manner of stresses transferred to the surrounding bone. Parallel to this situation, cantilever extensions where it is not possible to place another implant, would cause greater stress and it should be avoided if possible. Manufacturers and clinicians try to develop new implant designs and superstructure materials to reduce the stresses around the implant and supporting bone tissue. This study analyzed the influence of superstructure materials and implant designs on stress distribution around dental implants supporting cantilever restoration under loading conditions. Materials and Methods: Three-dimensional finite element models of a 3-unit cantilever bridge were subjected to 150 N occlusal load to evaluate two different superstructure materials (conventional metal ceramic, fiber reinforced composite) and two different implant designs, cylinder type (Institut Straumann AG, Waldenburg, Switzerland) and cylinder type with micro threads around implant neck (Astra Tech AB, Mölndal, Sweden). To evaluate the distribution of stresses within the bone surrounding the implants, 3-dimensional finite element analysis was conducted using four mathematical models of unilateral 3-unit cantilever fixed partial dentures supported by two implants. Results: The stress distribution patterns and stress values were similar and stress concentrations were similar in both restoration materials. The highest stress concentrations were around the adjacent ITI implant, which supports the conventional metal porcelain restoration. Conclusions: Although, there was no significant difference in stress distribution between fiber reinforced composite (FRC) and conventional metal porcelain, stress values were lower in FRC restorations. The Astra-Tech micro-thread design reduced the stress that was distributed throughout the implant body, but it should be noted that the peak stress was still present on the implant neck. |
| [ABSTRACT] [HTML Full text] [PDF] [Mobile Full text] [EPub] [Citations (6) ] [Sword Plugin for Repository]Beta |
|
|
|
|
|
 |
Evaluation of root canal smear layer removal by two types of lasers: A scanning electron microscopy study |
p. 151 |
Birang Reza, Hasheminia Seyed Mohsen, Fakhari Elham, Nasouri Mina, Nasouri Sara, Birang Ehsan DOI:10.4103/2278-9626.112317 Objective: This study was to compare the effects of Erbium: Yttrium-Aluminium-Garnet (Er: YAG), and Neodimium: Yttrium-Aluminium-Garnet (Nd: YAG) lasers on removing the smear layer using scanning electron microscopy. Background: Removing Smear layer and exposure of dentinal tubules facilitate a tight-fitting root canal filling, which is necessary for a successful endodontic treatment and one of the proposed methods for removing the smear layer is the use of lasers. Materials and Methods: In this experimental study, 55 human single-rooted teeth were examined. Instrumentation was done using the step-back technique with hand files up to file #40 at the apical area and file #80 at the coronal area. The samples were divided into three groups: Samples irradiated by the Er: YAG laser (1 W, 10 Hz, 130.7 J/cm 2 ) in Group 1 (n=25), the Nd: YAG laser (2 W, 15 Hz, 188.25 J/cm 2 ) in Group 2 (n=25) and samples irrigated by 5.25% NaOCl as the control in Group 3 (n=5). Next, roots were bisected longitudinally and prepared for scanning electron microscopy. Data were analyzed using the Kruskal-Wallis, Mann-Whitney, Friedman and Wilcoxon tests (P<0.05). Results: The Er: YAG laser can remove more of the smear layer from the root canal wall than the Nd: YAG laser (P=0.000). Comparisons between three regions showed that both of the lasers proved less efficient in apical parts of the root canal. Conclusion: Based on the findings of the present study, irradiation by the Er: YAG laser was more effective in smear layer removal than the Nd: YAG laser. |
| [ABSTRACT] [HTML Full text] [PDF] [Mobile Full text] [EPub] [Citations (1) ] [Sword Plugin for Repository]Beta |
|
|
|
|
|
 |
Effect of maternal periodontal status on birth weight |
p. 158 |
Agnes O Umoh, Patrick I Ojehanon, Kofo O Savage DOI:10.4103/2278-9626.112318 Aim: The study was to determine the effect of maternal periodontal status on birth weight. Materials and Methods: This longitudinal study was conducted at the University of Benin Teaching Hospital, Benin City, Edo State. Recruited into the study were 300 pregnant women aged between 20 and 34 years who were randomly placed into two groups. Test group received oral prophylaxis upon enrolment and control group received prophylaxis after deliveries. The gestational age for enrolment was from 12 weeks to 36 weeks. The groups were balanced for other risk factors, while smoking and alcohol was assessed using the questionnaire. The participants were all primigravid women. Data were collected by means of interviewer-administered questionnaire, clinical dental examination and participants' hospital records. Results: Community Periodontal Index (CPI) assessment revealed that 44.4% recorded code 2; 22% had code 3; while 16.6% had code 4. The overall prevalence of low birth and normal weight in this study were 6.3% and 93.8% respectively. The prevalence of low birth weight (LBW) among the test and control group were 0.0% and 12.5% respectively. The highest prevalence of low birth weight delivery (27.3%) among the control group was among the participants with CPI score 4 which was statistically significant ( P<0.05). Conclusion: The study revealed that the control group had low birth weight deliveries, which was significantly associated with poor periodontal status. Therefore, there is the need for oral prophylaxis among pregnant women preferably before second trimester. |
| [ABSTRACT] [HTML Full text] [PDF] [Mobile Full text] [EPub] [Citations (4) ] [Sword Plugin for Repository]Beta |
|
|
|
|
|
 |
Evaluation of stress distribution of fixed partial dentures over straight and inclined implants in various macrodesigns by the photoelastic stress analysis method |
p. 163 |
Serhat Emre Ozkir, Hakan Terzioglu, Ahmet Kursad Culhaoglu DOI:10.4103/2278-9626.112321 Aims: Tooth loss results in many problems, such as functional and esthetic problems, which may also have psychological implications. Dental implants are revolutionary improvements in functional and esthetic rehabilitation. Biomechanics is the one of the main factors for achieving the long-term success of implant-supported prostheses. It is important to distinguish the effects of macrodesign differences over stress distribution. Materials and Methods: In this study, the photoelastic response of four different types of implants that were inserted with different angulations and restored with 3-unit fixed bridges were comparatively analyzed. The implant types investigated were screw cylinder (ITI, Straumann AG, Basel, Switzerland), stepped cylinder (Frialit2, Friadent GmbH, Manheim, Germany), root form (Camlog Rootline, Alatatec, Wilshelm, Germany) and cylindrical implant with microthreads on implant neck (Astra, AstraTech, Mölndal, Sweden). In the test models, one of the implants was inserted straight while the other one was aligned mesially with 15° angles. Superstructures were prepared as 3-unit fixed partial denture FPD restorations. A 150 N loading was applied to the restorations throughout the test. Observations showed that misaligned implants caused less stresses than the straight implants, but the stress concentrations were not homogenous. Results: The comparison of implant designs showed that there were no significant differences between straight implants; however, between inclined implants, the most favorable stress distribution was seen with the stepped cylinder implants. The least favorable stress concentration was observed around the root-formed implants. Microthreads around the implant neck appeared to be effective in homogenous stress distribution. Observations showed that misaligned implants caused less stresses than the straight implants but the stress concentrations were not homogenous. Conclusion: While loading on a single implant, the remaining implant was not very effective at stress distribution. Cylinder type implants were better at stress distribution then the tapered implants while stress concentrations were lower around the inclined implants than the straight implants. |
| [ABSTRACT] [HTML Full text] [PDF] [Mobile Full text] [EPub] [Citations (1) ] [Sword Plugin for Repository]Beta |
|
|
|
|
|
 |
Conservative treatment of keratocyst: A follow-up study |
p. 169 |
Vibha Singh, Shadab Mohammad, Nimisha Singh, Somdipto Das DOI:10.4103/2278-9626.112322 Objective: Odontogenic keratocyst (OKC) is a cyst of tooth origin with an aggressive clinical behavior, including a high recurrence rate. The OKC is well known for its tendency to recur, potential aggressive behavior and defined histopathological feature. The aim of our study is to report the outcome of conservative treatment protocol for OKC. Materials and Methods: A retrospective chart review was undertaken of all cases of OKC treated at Department of Oral and Maxillofacial Surgery, KGMU, Lucknow between 2007 and 2009. A total of 35 cases of cystic lesion were identified, which were treated by one group of surgeons. On histopathological examination 17 patients out of 35 were diagnosed as OKC. We have treated all the patients of OKC with surgical curettage followed by iodoform dressing. There was only one recurrence reported, which was further treated by resection. Clinical features and various treatment modalities of OKC are discussed. Conclusions: Enucleation followed by open packing can be used as a choice of treatment with low recurrence rate for the large keratocystic lesions. The patient should have periodic radiographic and clinical examination. In the cases of the recurrence, lesion should be treated by resection and reconstruction |
| [ABSTRACT] [HTML Full text] [PDF] [Mobile Full text] [EPub] [Sword Plugin for Repository]Beta |
|
|
|
|
|
|
| CASE REPORTS |
 |
|
|
 |
Interdisciplinary approach to treating a patient with amelogenesis imperfecta: A clinical report |
p. 174 |
Mustafa Erhan Sari, Nursel Arici, Bilal Ozmen DOI:10.4103/2278-9626.112323 Amelogenesis imperfecta is a rare hereditary condition in which enamel structure without evidence of systemic disorders. Amelogenesis imperfecta is a disorder, requiring treatment due to esthetic, functional and related psychosocial problems. This article represents, a patient that referred to our clinic suffering from amelogenesis imperfect who successfully overcame the esthetic, functional and psychosocial problems by receiving multidisciplinary team rehabilitation. |
| [ABSTRACT] [HTML Full text] [PDF] [Mobile Full text] [EPub] [Sword Plugin for Repository]Beta |
|
|
|
|
|
 |
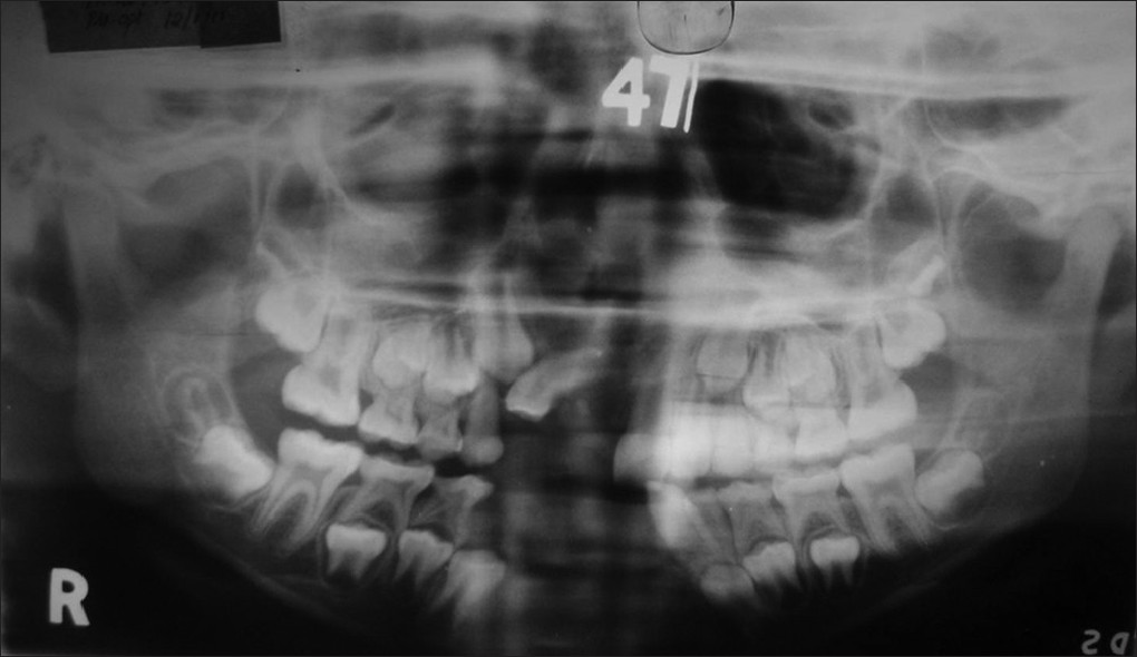
Mesiodens used for allotransplantation |
p. 178 |
Suryakanth M Pai, Piyusha S Patil, P Poornima, VV Subbareddy DOI:10.4103/2278-9626.112324 This is a case report of an 11-year-old male patient in whom a mesiodens from a donor was used as an allotransplant to replace his missing central incisor. The treatment results over 1 year showed successful periodontal healing and functioning of the allotransplanted tooth. The aim of this paper is to report a procedure, allotransplantation of tooth, which is followed from ages but less preferred and documented and is surrounded by variable prognosis and also highlight the use of a mesiodens, which in any case has to be extracted and usually of no other use. |
| [ABSTRACT] [HTML Full text] [PDF] [Mobile Full text] [EPub] [Citations (1) ] [Sword Plugin for Repository]Beta |
|
|
|
|
|
 |
Maxillary ameloblastoma extending into the maxillary sinus  |
p. 182 |
Nidhi Dwivedi, Vineet Raj, Shaleen Chandra, Akhil Agarwal DOI:10.4103/2278-9626.112325 Ameloblastoma is a benign but locally aggressive odontogenic tumor. Worldwide, maxillary ameloblastoma is rare, but its late detection renders adequate treatment difficult. Majority occur in the mandible with about 5-20% occurring in the maxillary bone. Here we report a case of plexiform ameloblastoma of the left maxilla in a 30-year-old male. The tumor was presented as a radiographically solid mass filling the left maxillary sinus and clinically as a maxillary swelling. The radio-pathological features of this tumor and the possibility of its sinonasal epithelium origin are discussed. |
| [ABSTRACT] [HTML Full text] [PDF] [Mobile Full text] [EPub] [Citations (1) ] [Sword Plugin for Repository]Beta |
|
|
|
|
|
 |
Role of volumetric three-dimensional computed tomography in guiding the treatment of a dentigerous cyst associated with a mesiodens, approaching the nasal cavity |
p. 187 |
Chetna Arora, Rohit Bahri, Varun Kapoor, Samrity Paul DOI:10.4103/2278-9626.112326 This is a case report highlighting the role of volumetric three-dimensional computed tomography (3D-CT) in the treatment of a dentigerous cyst (DC) associated with a mesiodens approaching the nasal cavity. The incidence and histopathogenesis of DC associated with mesiodens have been discussed. The advantages of volumetric multi-slice light speed 3D-CT imaging over alternative CT imaging techniques have also been discussed. |
| [ABSTRACT] [HTML Full text] [PDF] [Mobile Full text] [EPub] [Sword Plugin for Repository]Beta |
|
|
|
|
|
|
| LETTERS TO EDITOR |
 |
|
|
|
Obesity: A link between periodontitis and cardiovascular disease |
p. 191 |
Pavitra Rastogi DOI:10.4103/2278-9626.112327 |
| [HTML Full text] [PDF] [Mobile Full text] [EPub] [Sword Plugin for Repository]Beta |
|
|
|
|
|
|
Oral health and white tea |
p. 192 |
Shailee Fotedar, Vikas Fotedar, KR Sharma, Vinay Bhardwaj DOI:10.4103/2278-9626.112328 |
| [HTML Full text] [PDF] [Mobile Full text] [EPub] [Sword Plugin for Repository]Beta |
|
|
|
|
|
|
Periodontitis: Is it a risk factor for coronary heart disease? |
p. 193 |
Prince Kumar, Ashish Kumar, Ashish Khattar, Roshni Goel DOI:10.4103/2278-9626.112329 |
| [HTML Full text] [PDF] [Mobile Full text] [EPub] [Sword Plugin for Repository]Beta |
|
|
|
|
|