|
Show all abstracts Show selected abstracts Add to my list |
|
| EDITORIAL |
|
|
 |
Applications of medicinal plants in dentistry |
p. 123 |
Robert A Halberstein DOI:10.4103/2278-9626.105349 |
| [HTML Full text] [PDF] [Mobile Full text] [EPub] [Sword Plugin for Repository]Beta |
|
|
|
|
|
|
| REVIEW ARTICLES |
 |
|
|
|
Maxillary immediate implant loading: A comprehensive review |
p. 125 |
Sagar J Abichandani, Ramesh Nadiger DOI:10.4103/2278-9626.105350 The incredible achievement of osseointegration and certainty of implant treatment modality in the mandible has provoked investigations, to look in the maxillary segment to check and understand if similar success rates can be achieved. This assessment of literature regarding this will give us knowledge about the various treatment modalities and investigations in an attempt understand the predictability and longevity of immediate implant loading in the maxilla carried out by various researchers. The basic nomenclature are considered and discussed, along with advantages and disadvantages of immediate loading, its relationship to osseointegration, its influence on primary stability and micro-motion. Excess weightage has been given to prosthodontically driven implant modality keeping the end-result in mind. Successful implementation of implant restorations can be done with the help of a few proposed guidelines. |
| [ABSTRACT] [HTML Full text] [PDF] [Mobile Full text] [EPub] [Sword Plugin for Repository]Beta |
|
|
|
|
|
|
Bisphosphonate related osteonecrosis of the jaws: An update |
p. 131 |
R Anil Kumar, Chand Sawhney, Santosh Kumar, Mohita Dhingra DOI:10.4103/2278-9626.105351 Bisphosphonates (BPs) have been recommended for the use in patients with various bony lesions such as Paget's disease, hypercalcemia, osteoporosis, and multiple myeloma. Despite the increasing use and various benefits, bisphosphonate related osteonecrosis of the jaw (BRONJ) is a significant complication with significant morbidity. A search of PUBMED journal databases from January 2000 to April 2012 was conducted with the objective of identifying publications regarding BRONJ. Based on the available data current concepts in the diagnosis and management of BRONJ are discussed in this article. |
| [ABSTRACT] [HTML Full text] [PDF] [Mobile Full text] [EPub] [Sword Plugin for Repository]Beta |
|
|
|
|
|
 |
Biological width: No violation zone  |
p. 137 |
Ashu Sharma, GR Rahul, Bhawna Gupta, Mozammil Hafeez DOI:10.4103/2278-9626.105353 Maintenance of gingival health is one of the keys for the longevity of teeth, as well as for the longevity of restorations. The concept of Biologic width has been widely described by periodontists and restorative dentists. An adequate understanding of relationship between periodontal tissues and restorative dentistry is paramount to ensure adequate form, function and esthetics, and comfort of the dentition. While most clinicians are aware of this important relationship, uncertainty remains regarding specific concepts such as biologic width and indications and applications of surgical crown lengthening. These violations lead to complications like gingival inflammation, alveolar bone loss and improper fit of the restorative component. This review gives the wide aspect of the complex question of biologic width and represents an attempt to answer some of the demands in relation to it. The article also discusses the possible methods to assess biologic width, problems that occur after improper margin placement in the periodontium and the alternative procedures for prevention of biological width violation. |
| [ABSTRACT] [HTML Full text] [PDF] [Mobile Full text] [EPub] [Citations (1) ] [Sword Plugin for Repository]Beta |
|
|
|
|
|
|
Additive and synergistic effect of phytochemicals in prevention of oral cancer |
p. 142 |
Sunira Chandra, Kunal Sah, Anjana Bagewadi, Vaishali Keluskar, Arvind Shetty, Renuka Ammanagi, Zameera Naik DOI:10.4103/2278-9626.105354 Increasing the consumption of fruits, vegetables, and whole grains is a practical strategy to optimize good health and to reduce the risk of various chronic diseases and cancer. There are approximately 5,000 individual phytochemicals which have been identified. These interfere with multiple important cellular pathways and play an important role in maintaining balance between health and disease. This article aims to provide awareness of various additive and synergistic effects of these natural occurring chemical substances (phytochemicals) found in various fruits and vegetables. Their mechanism of action in preventing various chronic diseases and cancer is also been highlighted in this article. Grouping plant foods by color provides simplification, but it is also important as a method to help consumer's make-wise food choices and promote health. We believe phytochemicals can be best acquired through whole-food consumption and not through the pills or an extracts. |
| [ABSTRACT] [HTML Full text] [PDF] [Mobile Full text] [EPub] [Citations (11) ] [Sword Plugin for Repository]Beta |
|
|
|
|
|
 |
Management of third molar teeth from an endodontic perspective  |
p. 148 |
Hany Mohamed Aly Ahmed DOI:10.4103/2278-9626.105355 Third molar teeth are subject to many dental complications because of their most posterior location, aberrant occlusal anatomy and abnormal eruption patterns. Owing to these anatomical limitations, their extraction remains the treatment of choice for many dental practitioners. Despite being a common dental procedure, minimum intervention and retaining every functional component of the dental arch are of prime importance in contemporary dental practice. As such, this review aims to discuss the application of this conservative approach on third molar teeth from an endodontic perspective. The internal and external root anatomy of maxillary and mandibular third molars and their relation to the surrounding vital structures are described. These anatomical landmarks are then correlated to the decision making for endodontic treatment strategies of third molars. In addition, the recommended guidelines that should be followed while commencing endodontic treatment in third molars are outlined. |
| [ABSTRACT] [HTML Full text] [PDF] [Mobile Full text] [EPub] [Citations (5) ] [Sword Plugin for Repository]Beta |
|
|
|
|
|
|
| ORIGINAL ARTICLES |
 |
|
|
 |
Correlative and comparative study of Fishman's skeletal maturity indicators with CVMI and chronological age in Lucknow population |
p. 161 |
| Sachan Kiran, VP Sharma, Pradeep Tandon Objective: The present study consists of comparison and correlation between the hand-wrist skeletal maturation indicator (SMI) and the cervical vertebral maturation indicator (CVMI) and verification of the reliability of the vertebral index and chronological age in the determination of the stages of the skeletal maturation. Materials and Methods: The study consisted of randomly selected 90 children from Lucknow population with 45 males (age range 10-13 years) and 45 females (age range 9-12 years). Hand wrist radiograph taken for SMI, Lateral cephalogram taken for CVMI. Correlation was made between cervical vertebrae maturation and hand wrist maturation. These two methods and the chronological age were compared using the Newman-Keuls test. Results: There was strong correlation between SMI and CVMI for both male and female (0.849, 0.932). Cervical vertebrae maturation indicator and hand-wrist skeletal maturational indicator (SMI) showed no statistical signi?cant difference for males and females. However, females showed maturation at an early age as compared to males. Chronological age shows significant difference in comparison to skeletal age. Conclusion: It was concluded that CVMI stages can also be used as for assessing skeletal maturity. Cervical vertebrae assessment provided a reliable assessment for pubertal growth spurt, it would be bene?cial to use a lateral cephalogram for skeletal maturity assessment and thereby eliminate the need for an additional radiograph (hand-wrist radiograph). This is cost effective and will also reduce the radiation exposure to the patient. |
| [ABSTRACT] [HTML Full text] [PDF] [Mobile Full text] [EPub] [Sword Plugin for Repository]Beta |
|
|
|
|
|
|
Determination of additional canals in maxillary first permanent molars in adult Nigerian population: Using in vivo and in vitro techniques |
p. 166 |
Helen O Oboro-Onuora, Obiajulu I Onuora, Mathew A Sede DOI:10.4103/2278-9626.105359 Objective: To determine the prevalence of additional canals in maxillary first permanent molar in an adult population in Nigeria. Materials and Methods: This was a cross sectional study done using both in vivo and in vitro techniques. A total of 156 teeth were used; 50 for the in vivo and 106 for the in vitro study. Dental loupes and gentle troughing of the pulpal floor was done, to look for additional canal in the in vivo study, while the teeth in vitro study were sectioned at three levels after impregnation with a dye and magnifying glass was used to look for additional canals. Results: In the in vivo aspect of the study a total of 50 patients were treated, of this number 17 (34.0%) had additional canals, these were all found in the mesiobuccal roots. In the in vitro phase of the study 106 teeth were examined, sectioning at the cementoenamel junction revealed that 6 (5.7%) and 2 (1.9%) of the mesiobuccal and palatal roots had additional canals. Sectioning at the furcation and middle of the mesiobuccal, distobuccal and palatal roots revealed that 76 (71.1%) and 80 (75.5%) of the mesiobuccal roots respectively had additional canals. Conclusion: It can be concluded, from the clinical, as well as the laboratory aspect of this study that the incidence of additional canals in the maxillary first permanent molar, in this environment, is much higher than what was previously reported, and when these additional canals are present, they are usually found in the mesiobuccal root. |
| [ABSTRACT] [HTML Full text] [PDF] [Mobile Full text] [EPub] [Sword Plugin for Repository]Beta |
|
|
|
|
|
 |
Color differences between maxillar and mandibular incisors |
p. 170 |
Ali Riza Tuncdemir, Serdar Polat, Caner Ozturk, Makbule Tugba Tuncdemir, Ahmet Yalcin Gungor DOI:10.4103/2278-9626.105381 Context: Color difference between maxillar and mandibular incisors is an anticipated subject, and it will help dentists during color matching. Aim: The aim of this study was to evaluate color differences of the maxillar and mandibular incisors and to find out relationships between gender and age. Materials and Methods: This study was conducted on 125 participants (51 males and 74 females) between 16-63 age groups and totally over maxillar and mandibular 480 healthy teeth by using spectrophotometer. Color differences between teeth were calculated by using ΔE formula. One way ANOVA statistical analysis determined statistically significant differences between maxiller-central and mandibular-canine teeth for ΔL and Δb parameters (P<0.05). Results: According to t-test result there were not a statistically significant color differences for women and men teeth (P<0.05). Scheffe statistical analysis results showed statistically significant differences between mandibular central and mandibular canine for ΔL parameters on 16-27, 28-39, and 52-63 age groups; for Δb parameters, there were statistically significant differences between 16-27 and 40-51 age groups (P<0.05). Conclusion: Women have more lighter teeth than men. Maxillar canines are more yellow and Maxillar centrals are more lighter than other incisors. 16-27, 28-39 age groups have more lighter teeth than 52-63 age groups and 16-27 age groups have more yellow teeth than 40-51 age groups. |
| [ABSTRACT] [HTML Full text] [PDF] [Mobile Full text] [EPub] [Citations (4) ] [Sword Plugin for Repository]Beta |
|
|
|
|
|
 |
In vivo cytotoxicity of injection molded and conventional pressure pack acrylic resin dentures |
p. 174 |
Ali Riza Tunçdemir, Ahmet Koç, Serdar Polat, H Önder Gümüs, Mehmet Dalkiz DOI:10.4103/2278-9626.105382 Context: Acrylic resins are widely used in the fabrication of denture bases and have been shown to be cytotoxic as a result of substances that leach from the resin. Aim: The purpose of this study was to compare the cytotoxicity of the injectionmolded and conventional pressure-pack heat polymerized acrylic base resin systems with evaluation of the micronucleus frequency on the oral mucosa of the participants. Materials and Methods: This study was carried out by examining the 20 patients' buccal mucosa who begin to use complete dentures that fabricated by different heat polymerized systems. The micronucleus incidence was scored in the buccal epithelial of each patients. Epithelial cells were collected from oral mucosa by a wooden spatula before applying the prosthesis in the mouth, after 1 week and 1 month and they were smeared on to clean microscope glass slides then examined under light microscope. Results: Micronucleus frequency was higher in individuals' buccal mucosa who used conventional press pack dentures than injection molded heat polymerized groups. There was not statistically significant differences between conventional and injection molded heat polymerized groups (P>0.05). Number of micronucleus at the end of the 1 week was much more than after 1 month for each groups. Conclusion: Complete dentures that fabricated by injection molded denture base materials is less cytotoxic than conventional pressure pack acrylic resin. |
| [ABSTRACT] [HTML Full text] [PDF] [Mobile Full text] [EPub] [Citations (1) ] [Sword Plugin for Repository]Beta |
|
|
|
|
|
|
The effect of pre-heating silorane and methacrylate-based composites on microleakage of Class V restorations |
p. 178 |
Soley Arslan, Sezer Demirbuga, Yahya Orcun Zorba, Faruk Izzet Ucar, Oznur Tuncay DOI:10.4103/2278-9626.105383 Objective: This study compared the effects of 4 different temperatures (4°C, 25°C, 37°C, 60°C) on the microleakage of silorane and methacrylate-based composites in Class V cavities. Materials and Methods: Standard Class V cavities were prepared at the buccal and lingual surfaces of human molars. The specimens were randomly divided into 2 groups according to the composite resin used (Group I: Filtek Silorane Adhesive System and Filtek Silorane composite; Group II: Clearfil SE Bond and Aelite LS Posterior composite) and into 4 subgroups according to temperature treatment (Group A: Refrigeration at 4°C; Group B (control): Storage at room temperature (25°C); Group C: Heated to 37°C and Group D: Heated to 60°C using Calset). Specimens were dyed with 0.5% basic fuchsin, sectioned, and evaluated at 25x magnification. Statistical analysis was performed using Mann-Whitney U and Kruskal-Wallis tests at P<0.05. Results: Filtek Silorane and Aelite LS Posterior showed similar microleakage values (P>0.05). Differences in temperature did not significantly affect microleakage values for Filtek Silorane (P>0.05); however, microleakage values of Aelite LS Posterior composite varied according to temperature treatment, with heating resulted in significantly less microleakage than cooling (between Groups IID and IIA and Groups IIC and IIA) (P<0.05). Conclusion: Pre-heating was shown to reduce microleakage values of Aelite LS Posterior composite, but did not significantly alter the microleakage values of Filtek Silorane composite. |
| [ABSTRACT] [HTML Full text] [PDF] [Mobile Full text] [EPub] [Citations (1) ] [Sword Plugin for Repository]Beta |
|
|
|
|
|
 |
The effect of wrapping of light-cure tips on the cure of composite resin |
p. 183 |
Maan Ibrahim Al-Marzok DOI:10.4103/2278-9626.105384 Aim: Dental curing lights are vulnerable to contamination during routine intra-oral use. The purpose of this study was to evaluate the effect of wrapping light-cure tips on the hardness of cured composite resin. Settings and Design: Two types of barriers were used, which are the commercially available cellophane wraps and the disposable light-cure sleeves. A new light-cure unit used with a standard light-cure tip fixed at distance of 0.5 mm from the specimens. Materials and Methods: Sixty molds of 8 mm diameter and 2 mm depth filled with same type and shade of composite resin; 20 specimens cured without wrapping the tips, and 20 used for each wrapping method with new barrier was placed for each. The light-cure intensity and the Knoop hardness value were recorded. Statistical Analysis: Kruskal-Wallis test was used to analyze the statistical differences between the groups. Pearson's correlation analysis was used to determine the correlation between light intensity and Knoop hardness values. Results: The results of this study showed that there were significant differences in the light intensity among the groups. However, there were no significant differences in the Knoop hardness values among the 3 groups. The cellophane-wrapped around the light-cure tips is appeared to cause the least reduction of hardness from the non-wrapped tip. Conclusions: The effect of the barriers on the hardness of composite resin was small and probably clinically insignificant. The light intensity output was above the acceptable curing levels using any of the two barriers. The use of non-opaque barriers with the light-cure tips is recommended to prevent cross contamination. |
| [ABSTRACT] [HTML Full text] [PDF] [Mobile Full text] [EPub] [Citations (1) ] [Sword Plugin for Repository]Beta |
|
|
|
|
|
 |
Dental enamel roughness with different acid etching times: Atomic force microscopy study  |
p. 187 |
Bruno Bochnia Cerci, Lucimara Stolz Roman, Odilon Guariza-Filho, Elisa Souza Camargo, Orlando Motohiro Tanaka DOI:10.4103/2278-9626.105385 Objective: An important characteristic of human dental enamel not yet studied in detail is its surface roughness in mesoscopic scale. This study evaluated quantitatively and qualitatively the surface topography of acid etched enamel with different etching times. Materials and Methods: Ninety-six human maxillary bicuspids were randomly distributed into three groups (n=32): T0 (control), pumiced; T15, 35% phosphoric acid etched enamel for 15 s; T30, 35% phosphoric acid etched enamel for 30 s. Roughness measurements Ra, Rz and root mean square (RMS) and 3D images of enamel's topography were obtained with atomic force microscopy (AFM), which is a powerful technique to obtain direct measurements on microscale features. Results and Conclusions: Roughness variables Ra, Rz and RMS presented statistically significant differences to all groups (P<0.000), with values increasing with etching time. This increase was greater from T0 to T15 than from T15 to T30. Enamel surface alterations T15 to T30 occur mainly due to increase in height and deepening of prisms central region. |
| [ABSTRACT] [HTML Full text] [PDF] [Mobile Full text] [EPub] [Citations (11) ] [Sword Plugin for Repository]Beta |
|
|
|
|
|
 |
Comparison of centrifuged liquid based cytology method with conventional brush cytology in oral lesions |
p. 192 |
Nidhi Dwivedi, Akhil Agarwal, Vineet Raj, Bina Kashyap, Shaleen Chandra DOI:10.4103/2278-9626.105386 Background: Exfoliative cytology is the study of cells that are shed or scrapped off from mucosal surfaces. Centrifuged Liquid based cytology is a modified technique employed in the present study. Aims: To compare the utility of centrifuged liquid based cytology with conventional cytology in oral lesions after staining with Papanicolaou (PAP) stain. Materials and Methods: 50 cases of oral lesions comprising of normal mucosa (n=14), hyperkeratotic lesions (n=17), ulcerated lesions (n=7) and atrophic lesions (n=12) were selected. Two smears were obtained from the lesion using a cytological brush. One was spread on the slide using conventional technique, fixed immediately in 95% ethyl alcohol. Second sample was suspended in suspending solution for 10 minutes then spun in centrifuge for 10 minutes. The supernatant was poured off and the obtained cell pellet was used to prepare a smear by sedimentation and left to dry overnight. Both the smears were stained by PAP. The stained smears were compared for seven morphological parameters such as adequacy of smear, clear background, cell distribution, smear thickness, cell morphology, and presence of blood, inflammatory cells, microbial colonies and artifacts. Wilcoxon Signed rank test was used and P≤0.05 was considered statistically significant. Results: There was a statistically significant difference (P<0.001) between centrifuged liquid based cytology and conventional cytology when clear background was evaluated while in all other parameters the difference was not significant. Conclusion: Centrifuged Liquid based cytology showed clearer background than conventional brush cytology in oral lesions. |
| [ABSTRACT] [HTML Full text] [PDF] [Mobile Full text] [EPub] [Citations (1) ] [Sword Plugin for Repository]Beta |
|
|
|
|
|
|
| CASE REPORTS |
 |
|
|
 |
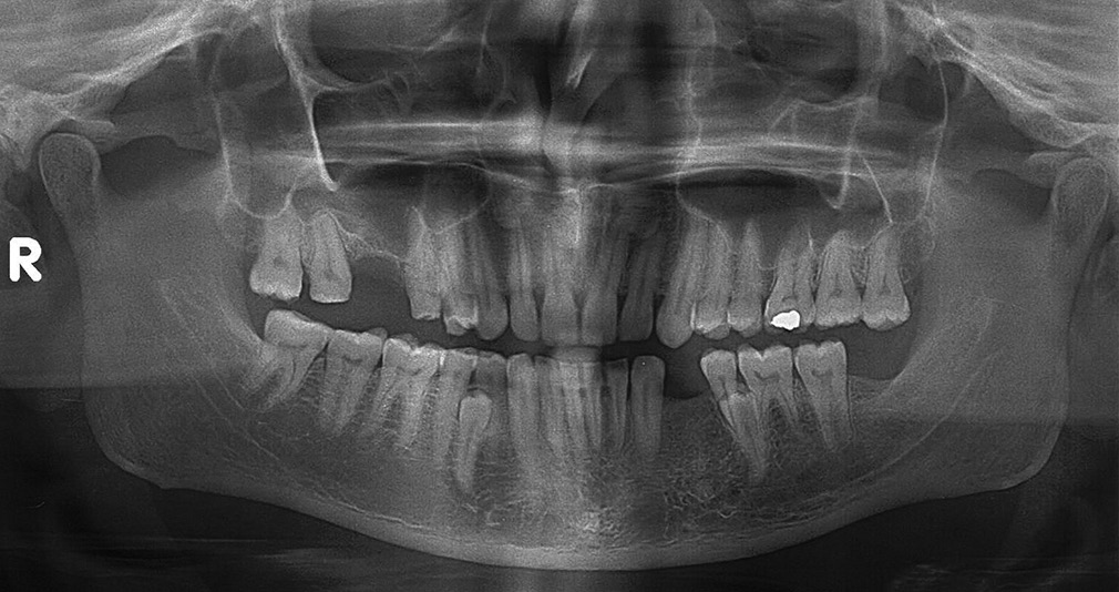
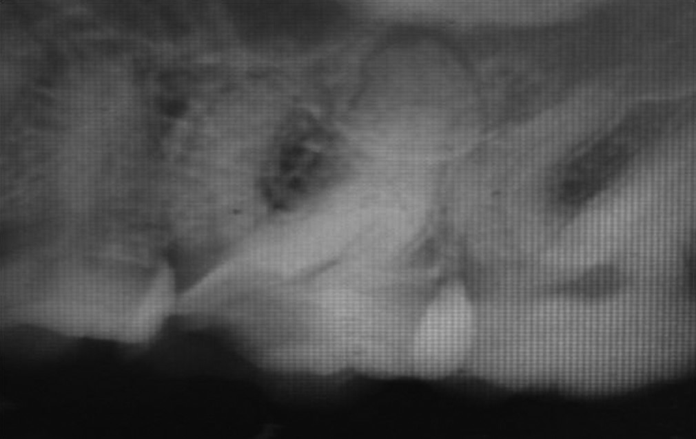
Endodontic management of maxillary second molar with 2 palatal roots and root canals: A rare case report |
p. 197 |
Padmanabh Jha, Vineeta Nikhil, Mesha Jha DOI:10.4103/2278-9626.105387 This case report presents the endodontic management of a maxillary second molar with 2 palatal roots, which have canals with separate orifices and apical foramen. The diagnosis was confirmed by the clinical and radiographic examination of the tooth. Root-canal treatment was performed using rotary instrumentation with Protaper files and obturated with corresponding protaper gutta percha cones and AH Plus sealer. |
| [ABSTRACT] [HTML Full text] [PDF] [Mobile Full text] [EPub] [Sword Plugin for Repository]Beta |
|
|
|
|
|
 |
A maxillary central incisor with four root canals |
p. 201 |
Fábio de Almeida-Gomes, Claudio Maniglia-Ferreira, Marcelo D. M. Vitoriano, Bruno C de Sousa, Roberto A dos Santos, Marco A. H. Duarte DOI:10.4103/2278-9626.105388 The objective of the present study is to present a case report of endodontic treatment of a maxillary central incisor with 1 root and 4 root canals. The success of endodontic treatment requires knowledge of dental anatomy and its variations. This clinical article reports an unusual anatomy detected in a maxillary central incisor with 4 root canals with an associated periapical lesion. The incidence of 4 root canals in this tooth is rare. However, it must be taken into consideration, the clinical and radiographic evaluations during the endodontic treatment in order to enhance the diagnostic. Many times, the presence of a supernumerary canal is noticed only after canal treatment due to continuing post-operative discomfort or treatment failure. |
| [ABSTRACT] [HTML Full text] [PDF] [Mobile Full text] [EPub] [Sword Plugin for Repository]Beta |
|
|
|
|
|
 |
Mandibular bilateral unerupted non-obstructing supernumerary premolars as a rare paradental anomaly |
p. 204 |
Vineet Gupta, Puneet Kumar, Prince Kumar, Nishant Lakhani DOI:10.4103/2278-9626.105389 Non-syndromal multiple supernumerary teeth are most commonly seen in mandibular premolars region, followed by the molar and the anterior regions respectively. Dental literature rarely reports symmetrical supernumerary teeth in all four quadrants. However, supernumerary premolars may not become radiographically visible until the patient's normal premolars have erupted. This article presents a case of a 45-year-old male with bilateral unerupted fully formed, buccally angulated, supernumerary premolars in the mandibular region without any obstruction to the eruption of mandibular first and second premolars. There was no syndrome associated. The delayed development of the supernumerary teeth in the premolar region supports the hypothesis that these teeth were part of a post-permanent dentition. |
| [ABSTRACT] [HTML Full text] [PDF] [Mobile Full text] [EPub] [Sword Plugin for Repository]Beta |
|
|
|
|
|
 |
Use of recent diagnostic methods in locating multiple canals: A case series of six canals in maxillary first molar |
p. 207 |
Rakesh Kumar Yadav, Kulwinder Kaur Wadhwani, Aseem Prakash Tikku, Anil Chandra, Mukesh Hasija DOI:10.4103/2278-9626.105390 The root canal anatomy of maxillary first molars has been described as three roots with three canals, and the commonest variation is the presence of a second mesiobuccal canal. However, some unusual number of canals should always be expected. Careful examination of the pulpal floor is recommended to locate all the canals and should be confirmed with conventional radiographic methods and additional imaging systems. The case reports describe the successful endodontic treatment of two maxillary first molars with six canals, with the help of dental computed tomography imaging system. |
| [ABSTRACT] [HTML Full text] [PDF] [Mobile Full text] [EPub] [Sword Plugin for Repository]Beta |
|
|
|
|
|
|
| SHORT COMMUNICATION |
 |
|
|
 |
Aesthetic rehabilitation in a patient with tooth wear |
p. 211 |
Haroon Rashid, Fahim Ahmed Vohra, Mohsin Nazir DOI:10.4103/2278-9626.105392 This case report sheds light upon the procedural treatment of aesthetic oral rehabilitation in patients with tooth wear so that not only a specialist but also a general dental practitioner can easily tackle cases of this caliber. In this case report, the treatment of a 58-year-old man with aesthetics concerns, tooth wear, and sensitivity in anterior teeth is discussed. The need for a stabilizing splint, crown lengthening, and the provisioning of partial dentures in the upper and lower arches were all part of the treatment protocol in this case. The prevalence of tooth wear and the aesthetic demands of patients have increased in our society nowadays. When both of these problems are encountered together in the dental practice, strict treatment planning is needed to achieve success. |
| [ABSTRACT] [HTML Full text] [PDF] [Mobile Full text] [EPub] [Sword Plugin for Repository]Beta |
|
|
|
|
|
|
| LETTERS TO EDITOR |
 |
|
|
|
Tobacco usage in Indian territory: An epigrammatic sketch on current scenario |
p. 215 |
Asha Raj, Roshni Goel, Prince Kumar, Ashish Kumar DOI:10.4103/2278-9626.105394 |
| [HTML Full text] [PDF] [Mobile Full text] [EPub] [Sword Plugin for Repository]Beta |
|
|
|
|
|
|
Infection control in prosthodontic perspective: An overview on the present scenario |
p. 216 |
Prince Kumar, Ashish Kumar, Ashish Khattar, Roshni Goel DOI:10.4103/2278-9626.105396 |
| [HTML Full text] [PDF] [Mobile Full text] [EPub] [Sword Plugin for Repository]Beta |
|
|
|
|
|
 |
Periodontal defect associated with an inverted mesiodens |
p. 216 |
Lall Saurabh, Srinivas Sulugodu Ramachandra, KD Jithendra DOI:10.4103/2278-9626.105397 |
| [HTML Full text] [PDF] [Mobile Full text] [EPub] [Sword Plugin for Repository]Beta |
|
|
|
|
|
 |
Linear enamel hypoplasia due to serious systemic infection |
p. 218 |
Vishwas Anjum, Srinivas Sulugodu Ramachandra, Jithendra Kajoor Dayakara DOI:10.4103/2278-9626.105398 |
| [HTML Full text] [PDF] [Mobile Full text] [EPub] [Sword Plugin for Repository]Beta |
|
|
|
|
|