 |
May-August 2012 Volume 1 | Issue 2
Page Nos. 73-121
Online since Saturday, November 10, 2012
Accessed 64,382 times.
PDF access policy Journal allows immediate open access to content in HTML + PDF
EPub access policy Full text in EPub is free except for the current issue. Access to the latest issue is reserved only for the paid subscribers.
|
| |
|
|
Show all abstracts Show selected abstracts Add to my list |
|
| EDITORIAL |
|
|
 |
Who produces the evidence? |
p. 73 |
Ivar Espelid DOI:10.4103/2278-9626.103371 |
| [HTML Full text] [PDF] [Mobile Full text] [EPub] [Sword Plugin for Repository]Beta |
|
|
|
|
|
|
| REVIEW ARTICLE |
 |
|
|
 |
Role of tissue engineering in dental pulp regeneration |
p. 74 |
Shruti Sial, Sunit Kumar Jurel, Raghuwar D Singh, Durga S Gupta, Mayank Singh DOI:10.4103/2278-9626.103374 Stem cells constitute the source of differentiated cells for the generation of tissues during development, and for regeneration of tissues that are diseased or injured postnatally. In recent years, stem cell research has grown exponentially owing to the recognition that stem cell-based therapies have the potential to improve the life of patients with conditions that span from Alzheimer's disease to cardiac ischemia to bone or tooth loss. Growing evidence demonstrates that stem cells are primarily found in niches and that certain tissues contain more stem cells than others. Among these tissues, the dental pulp is considered a rich source of mesenchymal stem cells that are suitable for tissue engineering applications. It is known that dental pulp stem cells have the potential to differentiate into several cell types, including odontoblasts, neural progenitors, osteoblasts, chondrocytes, and adipocytes. The dental pulp stem cells are highly proliferative. Collectively, the multipotency, high proliferation rates, and accessibility make the dental pulp an attractive source of mesenchymal stem cells for tissue regeneration. This review discusses fundamental concepts of stem cell biology and tissue engineering within the context of regenerative dentistry. |
| [ABSTRACT] [HTML Full text] [PDF] [Mobile Full text] [EPub] [Sword Plugin for Repository]Beta |
|
|
|
|
|
|
| ORIGINAL ARTICLES |
 |
|
|
 |
Effect of sodium bicarbonate air abrasive polishing on resistance to sliding during tooth alignment and leveling: An in vitro study |
p. 78 |
Jorge C. B. L. Filho, Andressa V Consolmagno, Cristiano M de Araújo, Marcel D Brunet, Edvaldo A. R. Rosa, Orlando M Tanaka DOI:10.4103/2278-9626.103381 Objective: The aim of this in vitro study was to evaluate the Resistance to Sliding (RS) provided by metallic brackets and 3 types of orthodontic wires (TMA, SS and NiTi), before and after the use of sodium bicarbonate airborne particle abrasion, in an experimental model with 3 non leveled brackets. Materials and Methods: The bicarbonate airborne abrasion was applied perpendicularly to the bracket slots at a distance of 2 mm, for 5 seconds (T2) and 10 seconds (T3) on each bracket slot. In a universal testing machine, the wires were pulled through a set of 3 non leveled brackets at a cross head speed of 50 mm/min for a distance of 10 mm, and static and kinetic friction readings were registered at T1 (no airborne abrasion), T2 and T3. Results: For all tested wires, a significant RS increase between T1 and T3 (P<0.001) was seen. For SS and TMA wires, there was a statistically significant RS increase between T1 and T2 (P<0.001). Between T2 and T3, RS increase was significant for TMA (P<0.001) and NiTiwires (P<0.05). Conclusions: Sodium bicarbonate air abrasive polishing during orthodontic treatment is not recommended, once this procedure promoted a significant RS increase between the metallic brackets and all the three types of wires tested. |
| [ABSTRACT] [HTML Full text] [PDF] [Mobile Full text] [EPub] [Citations (1) ] [Sword Plugin for Repository]Beta |
|
|
|
|
|
 |
Assessment of smile architecture and pink aesthetics: A successful methodology in cosmetic dentistry |
p. 85 |
Shital Hungund, Dhwani Gohil, Rakesh Mishra DOI:10.4103/2278-9626.103385 Objective: Aesthetic restorative treatment plays a very essential role in smile appearance. The aim of this study is to assess smile architecture and periodontium outlook for aesthetic evaluation. Materials and Methods: One hundred subjects (50 women and 50 men) aged from 18 to 62 years were enrolled and photographed. Standardized digital photographs were taken to assess smile architecture and gingival biotype during regular and expanded smile. Smile was assessed on the basis of following criteria: 1) extremely high smile line; 2) high smile line; 3) moderate smile line; and 4) low smile line. Patients were also classified by age group and gender as follows: a) males aged from 18 to 30 years; b) females aged from 18 to 30 years; c) males aged 31 years and above; and d) females aged 31 years and above. Gingival biotype was analysed using visual assessment method. Statistical analysis was performed using Chi-square test to assess differences between groups. Results: Assessment revealed that subjects with regular smile had the following: Class 1, 2%; Class 2, 10%; Class 3, 45%; and Class 4, 43%. With expanded smile, subjects revealed the following: Class 1, 9%; Class 2, 13%; Class 3, 58%; and Class 4, 20%. The periodontal outlook was more prevalent in the expanded and regular smile for younger age group than the older one. Age and gender influenced the position of the smile architecture. About 80% of the subjects were concerned of aesthetics. Conclusion: Assessment of smile architecture and pink aesthetics becomes mandatory for both regular and expanded smile for both the genders. |
| [ABSTRACT] [HTML Full text] [PDF] [Mobile Full text] [EPub] [Sword Plugin for Repository]Beta |
|
|
|
|
|
|
| CASE REPORTS |
 |
|
|
 |
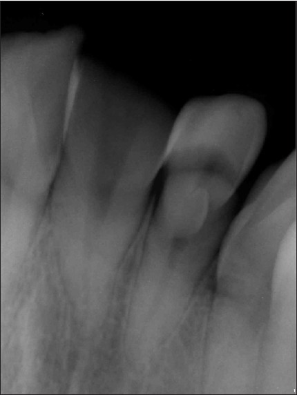
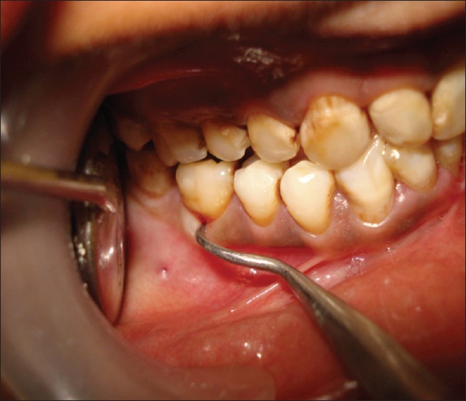
Multiple regenerative techniques for class II furcation defect |
p. 90 |
Pushpendra Kumar Verma, Ruchi Srivastava, Anju Gautam, TP Chaturvedi DOI:10.4103/2278-9626.103389 Regeneration of the periodontium is a major goal in the treatment of teeth affected by periodontitis. Periodontal regeneration is quite challenging, especially when it is in the furcation area. There are several techniques used alone or in combination, considered to achieve periodontal regeneration, including bone grafts or substitutes, guided tissue regeneration, root surface modification, and biological mediators. Many factors may account for variability in the response to regenerative therapy in class II furcation. This case report describes the management of a buccal class II furcation defect, with the help of surgical intervention, including the guided tissue regeneration (GTR) membrane and bone graft materials. This combined treatment resulted in a healthy periodontium, with radiographic evidence of alveolar bone gain. This case report demonstrates that proper diagnosis, followed by removal of the etiological factors and utilizing combined treatment modalities, restored health and function of the tooth with severe attachment loss, at the 18-month follow-up. |
| [ABSTRACT] [HTML Full text] [PDF] [Mobile Full text] [EPub] [Sword Plugin for Repository]Beta |
|
|
|
|
|
 |
Restoration of tooth fractures using fiber post and fragment reattachment: Three case reports |
p. 94 |
Sefika Nur Akyuz, Ali Erdemir DOI:10.4103/2278-9626.103393 Mostly affected teeth from dental trauma are maxillary anterior teeth . The immediate agglutination of original fractured tooth part is a good alternative option in the scope of emergency treatment for remaining esthetical and functional problems. In this case presentation, the endodontic and esthetic treatment approach of crown and crown−root fractures that were occurred in various levels is shown.
|
| [ABSTRACT] [HTML Full text] [PDF] [Mobile Full text] [EPub] [Citations (3) ] [Sword Plugin for Repository]Beta |
|
|
|
|
|
 |
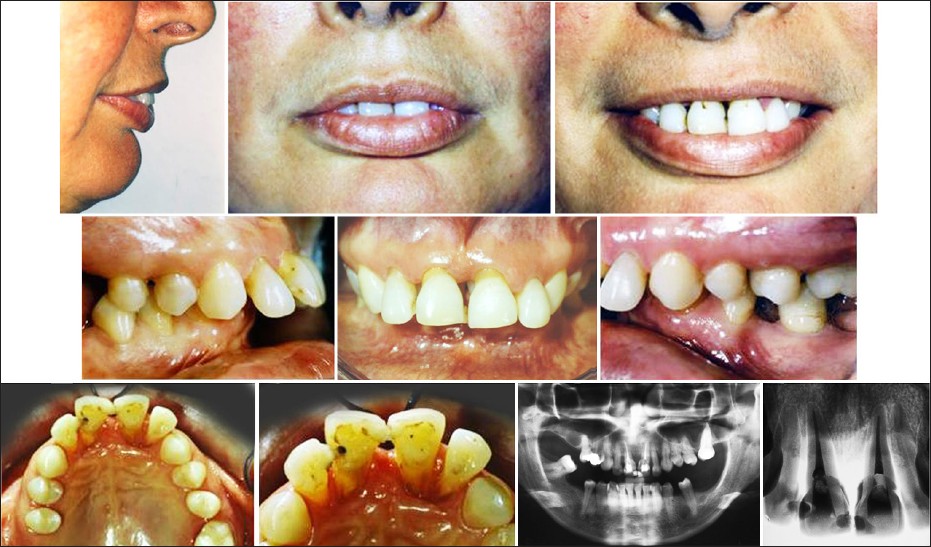
Forced eruption for all four maxillary incisors prior to implant rehabilitation |
p. 99 |
Gerson Luiz Ulema Ribeiro, José Vinicius Bolognesi Maciel, Juliana da Silva Pereira, Orlando Motohiro Tanaka DOI:10.4103/2278-9626.103396 Periodontally compromised teeth are a common problem observed in adults, and the extraction is a viable solution in some of these situations. When prosthetic rehabilitation with implants take place after the extraction, orthodontic extrusion may convert the tooth indicated for extraction into a useful tooth. A 48-year-old woman's chief complaint was the esthetics of her maxillary incisors with advanced periodontal disease. The incisors were orthodontically erupted to augment the bone topography for implant recipient sites and prosthetic rehabilitation. Three implants were selected and inserted in a single surgical procedure without any complications. A 10 months follow-up showed that the implants were stable with the prosthetic crowns preserving the surrounding soft tissues, and improving overall aesthetics and function. |
| [ABSTRACT] [HTML Full text] [PDF] [Mobile Full text] [EPub] [Citations (1) ] [Sword Plugin for Repository]Beta |
|
|
|
|
|
 |
Similar caries pattern in monozygotic twins: Role of nature and/or nurture |
p. 104 |
Anshula Deshpande, Neeraj Deshpande DOI:10.4103/2278-9626.103397 The present article attempts to relook at the role of genetics in the caries pattern in pediatric patients. Genetics exerts a major influence on initiation and progression of caries. Several investigators have studied the genetic aspects in humans using both twin studies and family pedigree approaches. The recent advances in molecular biology and the outcomes of the Human Genome Project can help to have innovative approaches to understand the etiology of this complex disease. A pair of 5-year-old monozygotic twin brothers was referred by the Pediatrician for multiple caries. Both the brothers were reared apart but presented with similar dental caries traits. Comprehensive oral health care with a preventive and therapeutic procedure was provided. Periodic recall visits were scheduled after every 6 months. By studying dental diseases in the twins reared apart, the element of environmental influence is eliminated while retaining the advantage of similar genotype in monozygotic twins. This report of monozygotic twins imparts light on the significant contribution of genetic factors on caries susceptibility. |
| [ABSTRACT] [HTML Full text] [PDF] [Mobile Full text] [EPub] [Citations (1) ] [Sword Plugin for Repository]Beta |
|
|
|
|
|
 |
Granular cell ameloblastoma: A diagnostic dilemma for histopathologist |
p. 109 |
Vijaykumar G Biradar, Rahul G Latturiya, Surekha V Biradar DOI:10.4103/2278-9626.103398 A rare case of granular cell ameloblastoma in the posterior mandible of a 45-year-old female has been studied both histologically and immunohistochemically. Histopathologically, hematoxylin and eosin and Periodic acid Schiff (PAS) prepared sections of granular cell ameloblastoma showed granular neoplastic cells residing within the tumor follicles. To characterize the granular cells in ameloblastoma, we examined the expression of low molecular weight cytokeratin and S-100 protein using immunohistochemistry. Granular cells exhibited positivity only with cytokeratin while S-100 protein was negative. This result allowed easy distinction of granular cell ameloblastomas from similar tumors exhibiting granular cell changes, and indicated that the granularity in ameloblastoma cells is consequent to lysosomal overload. |
| [ABSTRACT] [HTML Full text] [PDF] [Mobile Full text] [EPub] [Sword Plugin for Repository]Beta |
|
|
|
|
|
 |
Crown fragment reattachment in anterior-fractured tooth: A five-year follow-up |
p. 112 |
Josué Martos, Clarissa D Koller, Luiz F. M. Silveira, João B Cesar-Neto DOI:10.4103/2278-9626.103399 Treatment of anterior dental fractures often requires an immediate procedure. Reattachment of the fragment to its original position is an optimal approach to aesthetic and functional rehabilitation. This paper reports the case of a permanent maxillary lateral incisor with crown fracture treated by adhesive fragment reattachment. Follow-up radiographs over 5 years demonstrated the satisfactory resolution of the clinical case. |
| [ABSTRACT] [HTML Full text] [PDF] [Mobile Full text] [EPub] [Citations (1) ] [Sword Plugin for Repository]Beta |
|
|
|
|
|
|
| SHORT COMMUNICATION |
 |
|
|
 |
Translating discoveries of research into general practice: Need of the hour |
p. 116 |
Lata Goyal, ND Gupta, Vivek K Sharma DOI:10.4103/2278-9626.103400 We live in an era of information, innovation and change. There are a wide range of differences between what is known and what is practiced. Variation occurs due to gap between the time that basic and clinical research knowledge takes for transforming into reality of practice. As a result, there is delay between adopting new and useful information and discarding ineffective and harmful ones. The way to fill this gap is performing evaluations of findings available and by making them accessible to the clinician. It is of paramount importance that clinical decision regarding patient health care should incorporate the best available scientific evidence. Clinical decision making based on good quality evidence will lead to more effective and efficient treatments. Evidence alone is never sufficient to make a clinical decision. For effective care, the practitioner needs a more efficient and effective way to search for information as wells as skills to rapidly evaluate and sort out what is useful and relevant. |
| [ABSTRACT] [HTML Full text] [PDF] [Mobile Full text] [EPub] [Sword Plugin for Repository]Beta |
|
|
|
|
|
|
| LETTERS TO EDITOR |
 |
|
|
|
Reference guide for prosthetic occlusal plane orientation: An obscured dilemma |
p. 120 |
Prince Kumar, Jyoti Rastogi, Saurabh Rastogi, Roshni Goel DOI:10.4103/2278-9626.103401 |
| [HTML Full text] [PDF] [Mobile Full text] [EPub] [Sword Plugin for Repository]Beta |
|
|
|
|
|
|
Impact factor - the reputation gauge of the journals: An overview |
p. 121 |
Prince Kumar, Saurabh Rastogi, Ashish Kumar, Roshni Goel DOI:10.4103/2278-9626.103402 |
| [HTML Full text] [PDF] [Mobile Full text] [EPub] [Citations (1) ] [Sword Plugin for Repository]Beta |
|
|
|
|
|