Home
Current issue
Instructions
About us
Archives
Login
Editorial board
Search articles
Contact us
Users Online: 1351
Export selected to
Endnote
Reference Manager
Procite
Medlars Format
RefWorks Format
BibTex Format
Table of Contents
January-April 2012
Volume 1 | Issue 1
Page Nos. 1-66
Online since Wednesday, September 26, 2012
Accessed 120,275 times.
PDF access policy
Journal allows immediate open access to content in HTML + PDF
EPub access policy
Full text in EPub is free except for the current issue. Access to the latest issue is reserved only for the paid subscribers.
View issue as eBook
Author Institution Mapping
Issue citations
Issue statistics
RSS
Show all abstracts
Show selected abstracts
Export selected to
Add to my list
EDITORIAL
Future research directions in oral health
p. 1
Jayanthi Stjernswärd
DOI
:10.4103/2278-9626.101340
[HTML Full text]
[PDF]
[Mobile Full text]
[EPub]
[Sword Plugin for Repository]
Beta
REVIEW ARTICLES
A critical review of the management of deep overbite complicated by periodontal diseases
p. 2
ND Gupta, Sandhya Maheshwari, KC Prabhat, Lata Goyal
DOI
:10.4103/2278-9626.101343
Traumatic deep overbite complicated with periodontal problems is a challenging problem for a periodontist as well as for an orthodontist. A thorough and systematic approach to periodontal and occlusal examination, etiological factors, diagnosis and treatment planning is essential for better treatment results. In such cases prevention of disease is better than its treatment therefore.
[ABSTRACT]
[HTML Full text]
[PDF]
[Mobile Full text]
[EPub]
[Sword Plugin for Repository]
Beta
Indirect bonding: A literature review
p. 6
Sertaç Aksakalli, Abdullah Demir
DOI
:10.4103/2278-9626.101344
With the increased interest in recently years, indirect bonding became more popular. This technique enhances clinician's ability to communicate with patients and parents more and enhances chair-time savings. There are many kinds of indirect bonding and new techniques were presented to literature recently. There are so many steps and applications in indirect bonding. So all these are opened to modification and also modified too. With any new development, there will be some trepidation. There is always a natural fear of unknown. In indirect bonding, there were doubts about bond failures but studies revealed that there is no significant difference between direct and indirect technique on bond strength.
[ABSTRACT]
[HTML Full text]
[PDF]
[Mobile Full text]
[EPub]
[Citations (3) ]
[Sword Plugin for Repository]
Beta
Treatment of localized gingival recessions with free gingival graft
p. 10
Mehmet Saglam, Serhat Köseoglu
DOI
:10.4103/2278-9626.101347
Mucogingival therapy is a general term describing nonsurgical and surgical treatment procedures for the correction of defects in morphology, position, and/or amount of soft tissue and underlying bony support around teeth and dental implants. The free gingival graft is a reliable mucogingival surgical procedure for increasing the zone of attached gingiva at the buccal or lingual aspect of a single tooth, or groups of teeth, or for covering areas of gingival recession. In this review; using free gingival grafts for treating localized gingival recessions have been outlined in the light of current knowledge.
[ABSTRACT]
[HTML Full text]
[PDF]
[Mobile Full text]
[EPub]
[Sword Plugin for Repository]
Beta
Gerodontology - Orodental care for elderly
p. 15
Vinay Kumar Bhardwaj
DOI
:10.4103/2278-9626.101349
Changing demographics, including an increase in life expectancy and the growing numbers of elderly, has recently focused attention on the need for geriatric dental care. Ageing affects oral tissues in addition to other parts of the human body, and oral health (including oral mucosa, lips, teeth and associated structures, and their functional activity) is an integral component of general health. Oral disease can cause pain, difficulty in speaking, mastication, swallowing, maintaining a balanced diet, not to mention aesthetical considerations and facial alterations leading to anxiety and depression. Certain strategies should be adopted for improving oral health of the elderly, including the management and maintenance of oral conditions, which are necessary for re-establishing effective masticatory function. Oral health is often neglected in the elderly and oral diseases associated with aging are complex, adversely affecting the quality of life. Although majority of oral health problems are not usually associated with mortality, nearly more than half of the deaths due to oral cancer occur at an age of 65 years plus. This review of geriatric dentistry, which is dedicated to geriatric physicians, geriatric dentist and specialists in oral medicine, emphasizes on age-related oral changes in elderly patients and efforts to summarize the effects of aging in hard and soft oral tissues.
[ABSTRACT]
[HTML Full text]
[PDF]
[Mobile Full text]
[EPub]
[Sword Plugin for Repository]
Beta
ORIGINAL ARTICLES
The orthodontist's responsibility and the bioethical aspects in the current jurisprudence
p. 20
Ademir Franco, Ali Alqerban, Antonio A. S. de Lima, Orlando M Tanaka, Beatriz H. S. França
DOI
:10.4103/2278-9626.101350
Context:
The orthodontists usually have to manage patient's expectations and treatment plans at the same time. Consequently, the civil responsibility and the bioethics involved on orthodontic routine are matters of relevance. Therefore, the importance of adequate conducts is addressed in this research.
Aim:
The present aim is to analyze the tendency of the courts judging the orthodontists' responsibility and to observe the bioethical aspects on the current jurisprudence.
Materials and Methods:
The sample consisted of 108 lawsuits related to the orthodontist's civil responsibility, dated from 2003 to 2009. The qualitative data were obtained by the Bardin's method for detailed reading. The quantitative collection was performed by observing statistical distribution of the following variables: (1) reason of the complaint against the orthodontist, (2) type of obligation designated to the professional, (3) presence of expert's examination, and (4) jury decision. The correlations between the jury decision and the other variables were verified by applying the Chi-square test.
Results:
The main reason of the complaints against the orthodontist was the personal dissatisfaction (32%). Subjective and objective obligations had pair incidence (26% and 27%, respectively). The experts' examination was present in 63, 89%, of the cases, and the jury decision acquitted 57, 78%, of the orthodontists. The passages involving bioethical principles supported properly the qualitative approach.
Conclusion:
The orthodontists show deviations from the correct daily attitudes. In order to avoid further conflicts, more attention must be given to the principles of bioethics.
[ABSTRACT]
[HTML Full text]
[PDF]
[Mobile Full text]
[EPub]
[Sword Plugin for Repository]
Beta
Dentofacial injuries in contact sports in Yaounde, Cameroon
p. 24
MA Agbor, CC Azodo, N. E. F. Ngagoue
DOI
:10.4103/2278-9626.101351
Background:
Dentofacial injuries constitute serious problems among competitive and recreational athletes, worldwide.
Objective:
To determine the prevalence of dentofacial injuries and related factors among individuals participating in contact sports in Yaoundé, Cameroon.
Materials and Methods:
This cross-sectional study among individuals participating in karate, judo, basketball, handball, football and wrestling in Yaoundé, Cameroon was conducted between January and April, 2012.
Results:
Of the 240 athletes interviewed, 115 and 89 of them reported bodily and dentofacial injuries giving 47.9% and 37.1% prevalence, respectively. The bodily injuries were limbs-(60.0%), chest-(23.5%), abdomen-(11.3%) and neck- (5.2%). Mouth and face accounted for 52.8% and 37.1% of the dentofacial injuries, respectively. Other dentofacial injuries were teeth-(6.7%) and mandible-(3.4%). Older athletes and years of participation were more likely to experience dentofacial injuries. Karate was the most common cause of dentofacial injuries followed by wrestling. The prevalence of the dentofacial injuries was similar among both genders and was equally prevalent during training and competition. The personal protective equipment use reduced the likelihood of dentofacial injuries among the athletes.
Conclusion:
The prevalence of dentofacial injuries were high while the personal protective equipment use was low among the individuals participating in contact sports in Yaoundé, Cameroon.
[ABSTRACT]
[HTML Full text]
[PDF]
[Mobile Full text]
[EPub]
[Citations (2) ]
[Sword Plugin for Repository]
Beta
Removable partial denture use among a selected group of Nigerian undergraduates
p. 30
CC Azodo, B Akinboboye
DOI
:10.4103/2278-9626.101353
Objective:
To determine the self-reported prevalence of removable partial denture use among a selected group of Nigerian undergraduates.
Materials and Methods:
Four hundred non-dental undergraduates of University of Benin recruited over four week's period were studied.
Results:
The prevalence of removable partial denture use among the respondents was 1.8%. Denture use was more among those aged 17-25 years, females and right handed individuals. Removable partial denture users were less likely to have received professional instruction on tooth brushing and brush their teeth more than once-daily than non-denture users. Removable partial denture users were more likely to be cigarette smokers, regular soft drink consumer and report perceived efficacy in oral self-care and prevention of gingivodental diseases than non-denture users. Removable partial denture users were also more likely to have opened bottled drink with their teeth and experienced shocking sensation from their teeth than non-denture users.
Conclusion:
The prevalence of removable partial denture use was low among the respondents. The denture wearer were more likely to report higher perceived efficacy in oral self-care and prevention of gingivodental disease despite indulgence in unhealthy oral health practices and lower receipt of professional instruction on tooth brushing. The implication of this study is that dental practitioner should endeavor to give oral health instruction to removable partial denture users to improve their oral health practices and decrease the risk of preventable oral diseases.
[ABSTRACT]
[HTML Full text]
[PDF]
[Mobile Full text]
[EPub]
[Sword Plugin for Repository]
Beta
Prevalence of dental caries among five-year-old school children in Shimla city, Himachal Pradesh
p. 34
Vinay Kumar Bhardwaj, S Vaid, A Chug, P Jhingta, N Negi, D Sharma
DOI
:10.4103/2278-9626.101355
Objective:
The purpose of the study was to assess the prevalence of dental caries among five year old school children in Shimla city-Himachal Pradesh.
Materials and Methods:
The sample consisted of 800 school going children 421 (52.62%) boys and 379 (47.38%) girls from government primary schools which were selected randomly from four different zones of Shimla city. Type -III examination was conducted. The data obtained was analyzed by SPSS version 15 ( Inc., Chicago) using proportion test for comparison.
Results:
Boys were having higher caries prevalence than girls, (46.8% vs 41.6%) and the difference was statistically significant (
P
<0.05). Caries prevalence was higher in the mandibular arch than in the maxillary arch among both the gender with a difference which was significant statistically. Caries prevalence was higher on left than right side in both male and female subjects. When the caries prevalence of the anterior teeth was compared between the gender, boys showed higher caries prevalence than girls and this difference was statistically significant (
P
<0.05). Comparison of caries between the arches in the anterior segment revealed that caries attack was higher in the maxillary arch and the difference was highly significant statistically (
P
<0.01).
Conclusion
: Dental caries is a significant public health problem among this population. It is a cause of concern which point out to the utmost necessity of dental health education of children, school teachers and parents. Emphasis should be given on regular check-up and application of preventive measures and treatment modalities.
[ABSTRACT]
[HTML Full text]
[PDF]
[Mobile Full text]
[EPub]
[Citations (1) ]
[Sword Plugin for Repository]
Beta
The frequency and characteristics of talon cusps in a Turkish population
p. 39
Berna Arfat, Hakan Çolak, Ahmet Arif Çelebi, Recep Uzgur, Mustafa Turkal, Mehmet Mustafa Hamidi
DOI
:10.4103/2278-9626.101357
Background:
The aim of this study was to determine the prevalence of talon cusps in a Turkish dental patient population with respect to sexes, jaws, and dental localization to determine the relation between sex and this anomaly.
Materials and Methods:
A cross-sectional study was carried out. Patients attending outpatient department of Restorative Dentistry Dental School, Kirikkale between October 2009 to January 2012 were screened specifically for the presence of talon cusp during routine outpatient screening. Each patient was examined clinically and radiographically for the presence of talon cusps.
Results:
A total 2597 sample was evaluated. Talon cusps were observed in 31 patients. Thus, the person prevalence of talon cusp was 1.2% in this study. Gender-wise prevalence was 1.25% and 1.13% in females and males, respectively. Talon cusps were detected in 44 teeth out of a total of 35424 teeth to give a tooth prevalence of 0.12%. Maxillary lateral incisors were most commonly affected teeth in the mouth, and most commonly seen type of talon cusp was type I (23 teeth, 52.3%).
Conclusion:
The prevalence of talon cusps was found to be 1.2% for the Turkish dental patient population. Clinicians should be aware of potential complications that may occur with talon cusps.
[ABSTRACT]
[HTML Full text]
[PDF]
[Mobile Full text]
[EPub]
[Citations (1) ]
[Sword Plugin for Repository]
Beta
Parents' perceptions of factors influencing the oral health of their preschool children in Vadodara city, Gujarat: A descriptive study
p. 44
Vrushali G Thakare, CG Ajith Krishnan, Sachin Chaware
DOI
:10.4103/2278-9626.101359
Objectives:
To assess parents' perceptions about the factors influencing the oral health of preschool children.
Materials and Methods:
A cross-sectional questionnaire survey was carried out among the parents of the preschool children in Vadodara City, India. A list of preschools was obtained from the Social Science Department of the MS University, Vadodara, India. The study included 828 parents, out of whom 597 responded, with the response rate of 72.10%. Twenty-seven questionnaires were incompletely filled and were excluded from the analysis. The remaining 570 forms were analyzed for the results.
Results
: The study included 828 parents, with a response rate of 72.10%. A majority of the parents were aware of the importance of primary teeth (85.33%), need for treating decayed primary teeth (100%), harmful effects of bottle feeding at night (99.64%), appropriate oral hygiene aid (84,56%), appropriate size of a toothbrush for a child (99.12%), and supervision and guidance of a parent, while cleaning the child's teeth (96.49%) . The parents' understanding, however, was found to be poor with respect to certain factors. Very few of the parents had adequate knowledge about the appropriate time to start cleaning, correct position of the parent during supervised brushing, proper quantity of toothpaste to be used, and proper time for the first dental visit of the child; 29.12% felt that the child's teeth should be cleaned when the first tooth erupts. A majority of parents identified the importance of fluoridated toothpaste (62.10%) and preferred to visit the dentist only when there was pain (58.07%).
Conclusions:
Parents' knowledge with respect to the first dental visit of a child, correct time to start cleaning the child's teeth, quantity of toothpaste to be used, position of parent during supervised brushing, the best time to give sugary drinks and snacks to the child, cariogenic effects of foods like cakes and pastries, and so on, needs to be improved.
[ABSTRACT]
[HTML Full text]
[PDF]
[Mobile Full text]
[EPub]
[Citations (3) ]
[Sword Plugin for Repository]
Beta
CASE REPORTS
Dentigerous cyst associated with an impacted maxillary mesiodens
p. 50
HC Baranwal, Pushpendra Kumar Verma, CD Dwivedi, Ruchi Srivastava
DOI
:10.4103/2278-9626.101360
A dentigerous cyst is a developmental odontogenic cyst, which apparently develops by accumulation of fluid between the reduced enamel epithelium and the tooth crown of an unerupted tooth. When observed with erupted and complete permanent dentition the diagnosis is 95% dentigerous cysts, and only 5% are associated with supernumerary teeth. Mesiodens is a supernumerary tooth situated between the maxillary central incisors. We report the case of a dentigerous cyst in association with an impacted mesioden in an 18-year-old male patient. Radiographically, the cyst appeared as an ovoid, well-demarcated unilocular radiolucency with a sclerotic border. The present case report describes the successful management of a dentigerous cyst by surgical enucleation. Careful evaluation of the history and the clinical and radiographic findings, help clinicians to diagnose the condition accurately, identify the etiological factors, and administer the appropriate treatment.
[ABSTRACT]
[HTML Full text]
[PDF]
[Mobile Full text]
[EPub]
[Sword Plugin for Repository]
Beta
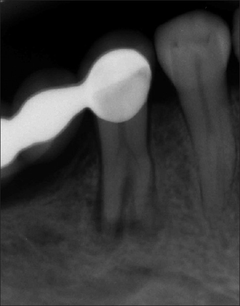
Mandibular second premolar with four roots
p. 54
Sefika Nur Akyuz, Ali Erdemir
DOI
:10.4103/2278-9626.101361
Detection of normal and abnormal variation in tooth anatomy is essential for clinical success. It is generally well known that the mandibular second premolar teeth have a single root and canal. However, the mandibular second premolar teeth have sometimes more than one root and root canal. The endodontic treatment of a mandibular second premolar with four roots which separated at different levels along the middle third of the root is presented in this case report. Preoperative radiographs appeared radiolucency and different root anatomy in the region of the mandibular second premolar. The root canals were prepared using Mtwo rotary system (VDW, Munich, Germany) and obturated laterally condensed gutta percha and AH plus (Dentsply De Trey, Konstanz, Germany). After the completion of root canal treatment, the tooth was restored with a posterior composite filling material. On follow-up, the tooth was clinically and radiographically asymptomatic for two years. Clinicians should be aware of the importance of careful clinical and radiographic examination of mandibular premolars during the endodontic treatment. Radiographs exposed at two different horizontal angles and their careful interpretation facilitates the search of additional root canals.
[ABSTRACT]
[HTML Full text]
[PDF]
[Mobile Full text]
[EPub]
[Sword Plugin for Repository]
Beta
Management of dental - orthopedic problems in down syndrome
p. 58
Sertac Aksakalli, Zehra Ileri
DOI
:10.4103/2278-9626.101362
Down Syndrome (DS) is one the most prevalent genetic disorder. This genetic disorder has physical and mental features including musculoskeletal (e.g. incorrect swallowing pattern), nervous (e.g. anxiety), and dental problems. Maintaining oral health is very important for these kinds of patients. Oral health or dental problems related to DS are localized or generalized periodontitis, mandibular prognatisma, underdeveloped maxilla, caries lesions, delayed eruptions, and oligodontia. Because of dental-oral part is the first part of the digestive system, there is need for orthodontic treatment maintaining better occlusion and mastication. In this case report, orthopedic, orthodontic, periodontal, prosthetic, and conservative dental treatments of a DS patient were presented. These kinds of patients should not be excluded from the dentistry patient population.
[ABSTRACT]
[HTML Full text]
[PDF]
[Mobile Full text]
[EPub]
[Citations (1) ]
[Sword Plugin for Repository]
Beta
SHORT COMMUNICATION
A quantitative overview of dentinal hypersensitivity in the private practice patient population of north India: A short study
p. 63
Roshni Goel, Sanjay Agarwal, Prince Kumar, Ashish Kumar, Harkanwal P Singh, Ashish Khattar
DOI
:10.4103/2278-9626.101364
Dentine hypersensitivity (DH) is a well known and one of the most widely investigated clinical entity; still, studies based on randomly selected general practice populations are very less. The present study was designed to scrutinize the intraoral distribution of DH and its relationship with age, sex, symptoms, stimuli, predisposing factors and management strategies in the North Indian private practice patient population. The study was designed as a short survey based on questionnaire and was conducted on the randomly selected North Indian private dental practice dentists. It was concluded that dietary acid, gingival recession and erosion were potentially associated with DH, with a strong predilection for middle-aged females.
[ABSTRACT]
[HTML Full text]
[PDF]
[Mobile Full text]
[EPub]
[Sword Plugin for Repository]
Beta
LETTER TO EDITOR
Flexible dentures: Smile for sorrow faces
p. 66
Prince Kumar, Vishal Singh, Ashish Kumar, Harkanwal Preet Singh
DOI
:10.4103/2278-9626.101366
[HTML Full text]
[PDF]
[Mobile Full text]
[EPub]
[Sword Plugin for Repository]
Beta
Feedback
Subscribe
Next Issue
Previous Issue
Sitemap
|
What's New
|
Feedback
|
Disclaimer
© European Journal of General Dentistry | Published by Wolters Kluwer -
Medknow
Online since 1 July, 2012